Doppel-Merle-Gen-Träger
Hallo liebe Community,
auf diesem Wege möchte ich mich gerne mit anderen Hundehaltern austauschen, die das gleiche Schicksal mit einem Hund teilen, der Doppel-Merle-Gen-Träger ist.
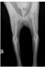
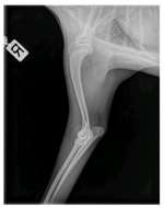
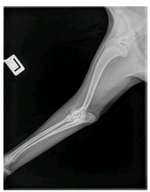
Vorab möchte ich sagen, dass mein Hund Danko aus Spanien kommt und wie jeder weiß, wird im Ausland nicht so gut auf d ...