Home / Forum / Rasse-spezifisches / Alles rund um den Schäferhund, diskutieren erwünscht.

Verfasser-Bild
Gina
Einleitungs-Beitrag
Anzahl der Antworten 12668
zuletzt 25. Aug.

Alles rund um den Schäferhund, diskutieren erwünscht.

Weil wir ja nicht die anderen Themen sprengen wollen, mache ich mal ein eigenes Thema auf. Ich hoffe auf interessanten Austausch über alles, was den Schäferhund betrifft und freue mich darauf. Hoffe, ihr seid dabei👍
 
Beitrag-Verfasser
Dogorama-Mitglied
3. Nov. 14:36
Elle links
 
Beitrag-Verfasser
Dogorama-Mitglied
3. Nov. 14:36
Elle Rechts
 
Beitrag-Verfasser
Dogorama-Mitglied
3. Nov. 17:12
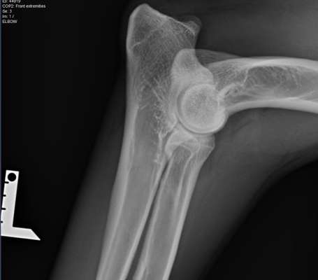
Hab Röntgen Bilder für euch. Lagerung nicht perfekt und bin gespannt was der Doktor zum LÜW sagt...
Schickst du die Bilder zur Auswertung an der SV
 
Beitrag-Verfasser-Bild
Simone
3. Nov. 17:16
Schickst du die Bilder zur Auswertung an der SV
Die Hündin ist kein Jahr alt geht nicht vor einem Jahr ein guter Tierarzt kann dir sagen was da eingetragen wird unsere sagt gleich beim röntgen was sache ist
 
Beitrag-Verfasser
Dogorama-Mitglied
3. Nov. 19:00
Schickst du die Bilder zur Auswertung an der SV
Ne zu jung, ist nur vorröntgen weil die eh in Narkose musste
 
Beitrag-Verfasser-Bild
Anna
3. Nov. 21:17
Hab vor einer Weile die Beiträge hier zum Thema Stellen der DSH gesehen und muss gestehen ich habe zwar immer noch absolut keine Ahnung davon (bestimmte Winkel etc.), war aber neugierig und hab das mit meinem "Australischen Schäferhund" 😉 mal ausprobiert, bzw. ganz plump gesagt ein Bein nach hinten gestellt...
Jetzt fehlen nur noch die Stehohren und eine Umlackierung, dann wird aus der plüschbärigen Grinsebacke doch noch ein "richtiger" Schäferhund 😜🤭

Die ganze Thematik war bis dato neu für mich, danke also für den Denkanstoß...
 
Beitrag-Verfasser
Dogorama-Mitglied
3. Nov. 22:50
Lendenübergangswirbel
 
Beitrag-Verfasser-Bild
Silke
3. Nov. 23:02
Lendenübergangswirbel
Sieht irgendwie "schief" aus.🤔
 
Beitrag-Verfasser-Bild
Simone
4. Nov. 04:16
Lendenübergangswirbel
Was sagt der Tierarzt zu der hüfte da sind die Pfannen nicht weit genug ausgebildet das ist jetzt nicht so tragisch wäre aber sehr wahrscheinlich hd nochzugelassen wenn überhaupt
 
Beitrag-Verfasser-Bild
Simone
4. Nov. 04:20
Lendenübergangswirbel
Ja 16/17und 17 sehen auffällig aus kann aber auch von der schlechten lagerung sein