Home / Forum / Rasse-spezifisches / Alles rund um den Schäferhund, diskutieren erwünscht.

Verfasser-Bild
Gina
Einleitungs-Beitrag
Anzahl der Antworten 12668
zuletzt 25. Aug.

Alles rund um den Schäferhund, diskutieren erwünscht.

Weil wir ja nicht die anderen Themen sprengen wollen, mache ich mal ein eigenes Thema auf. Ich hoffe auf interessanten Austausch über alles, was den Schäferhund betrifft und freue mich darauf. Hoffe, ihr seid dabei👍
 
Beitrag-Verfasser-Bild
Silke
28. Okt. 13:53
Es geht nicht darum nichts anstrengendes machen zu wollen ich bin zwar 64Jahre aber fitter wie viele jüngeren und wie gesagt wir sind stundenlang unterwegs im bayerischen Wald
Ich wollte dir nichts absprechen.😉 Ich dachte nur das es dir um die Größe vom Hund ging und um gelenkschonende Sachen.
 
Beitrag-Verfasser-Bild
Jeanette
28. Okt. 14:36
Du hast mir nichts abgesprochen mein Hund lebt eher das Leben eines Wolfes er jagt kein Wild muss ich dazu sagen es ist bereits mein 3 Hund und hankos Vorgänger durften nach seiner Manier leben mein Australian Shep.wurde 14 Jahren alt trotz Epilepsie durfe er Pferde hüten und hat nach seiner Bestimmung gelebt mein Hund davor eine Mischung aus Collie und Schäferhund hat auch Ihre Bestimmung gefunden sie wurde 13Jahre obwohl sie schon kaputte Hüften hatte mit 11 monaten als ich sie aus dem tierheim holte ich denke das ich meine Hunde immer richtig eingeschätzt habe also nicht böse sein ich denke ich tue das richtige für meinen Hund liebe Grüße
 
Beitrag-Verfasser-Bild
Silke
28. Okt. 15:22
Du hast mir nichts abgesprochen mein Hund lebt eher das Leben eines Wolfes er jagt kein Wild muss ich dazu sagen es ist bereits mein 3 Hund und hankos Vorgänger durften nach seiner Manier leben mein Australian Shep.wurde 14 Jahren alt trotz Epilepsie durfe er Pferde hüten und hat nach seiner Bestimmung gelebt mein Hund davor eine Mischung aus Collie und Schäferhund hat auch Ihre Bestimmung gefunden sie wurde 13Jahre obwohl sie schon kaputte Hüften hatte mit 11 monaten als ich sie aus dem tierheim holte ich denke das ich meine Hunde immer richtig eingeschätzt habe also nicht böse sein ich denke ich tue das richtige für meinen Hund liebe Grüße
Um Gottes Willen das war doch nicht böse gemeint. Du hattest nur geschrieben das er so groß ist und das du keinen Sport machen kannst. Da hab ich nur gleich die schonende Sportarten gedacht.😉
 
Beitrag-Verfasser-Bild
Jeanette
28. Okt. 15:27
Es stimmt das viele zu früh aufgeben. Aber ich hatte über 10 Jahre immer wieder die Ambitionen dem Hund das Arportieren beizubringen. Danach habe ich aber auch aufgegeben.😂 Dazu muss man aber auch sagen das es ein Beschlagnahmter Pit Bull ausm Tierschutz war. Der war auch schon 10 Monate alt als er zu mir kam.
Mein Hund zeigt mir sofort ob er bock auf eine Sache hat oder nicht jedes Tier ist halt anders er ist halt ein Schnüffler. Meine Katze wollte ihm das Mäuse jagen beibringen und hat ihm die Mäuse vor die Füße gelegt lebendig und er geht angewidert weg
 
Beitrag-Verfasser-Bild
Silke
28. Okt. 15:32
Mein Hund zeigt mir sofort ob er bock auf eine Sache hat oder nicht jedes Tier ist halt anders er ist halt ein Schnüffler. Meine Katze wollte ihm das Mäuse jagen beibringen und hat ihm die Mäuse vor die Füße gelegt lebendig und er geht angewidert weg
Das mit dem aufgeben war auch nicht auf dich bezogen. Aber im allgemeinen ist es leider oft so das der Hund nicht schnell genug so funktioniert wie man es gerne hätte, dann wird aufgegeben und dem Hund die Schuld in die Schuhe geschoben ohne sich selbst zu hinterfragen ob man die Sache überhaupt richtig angegangen ist.
 
Beitrag-Verfasser-Bild
Jeanette
28. Okt. 16:16
Das mit dem aufgeben war auch nicht auf dich bezogen. Aber im allgemeinen ist es leider oft so das der Hund nicht schnell genug so funktioniert wie man es gerne hätte, dann wird aufgegeben und dem Hund die Schuld in die Schuhe geschoben ohne sich selbst zu hinterfragen ob man die Sache überhaupt richtig angegangen ist.
Wir haben früher Westernpferde ausgebildet da lernt man geduld und Ruhe und ich beziehe nie etwas auf mich ich höre mir alles an und wäge dann ab ob ich einen Fehler gemacht habe oder ob es an was anderem liegt. Ps ich bin für alles offen und ich bin weit davon entfernt gleich beleidigt zu sein liebe Grüße
 
Beitrag-Verfasser-Bild
Anita
28. Okt. 16:40
Das mit dem Arportieren kenne ich. So einen Hund hatte ich auch mal. Der ist wenn ich was geworfen habe hinterher gelaufen aber dann hat er sich das Objekt der Begierde nur angeguckt. Und dann hat er zu mir geguckt so nach dem Motto du hast geworfen also hol du das blöde ding auch wieder. 10 jahre hab ich geübt. Aber er wollte einfach nicht.🤷‍♀️😂
Du sprichst von Falco🤣🤣🤣
 
Beitrag-Verfasser
Dogorama-Mitglied
3. Nov. 14:34
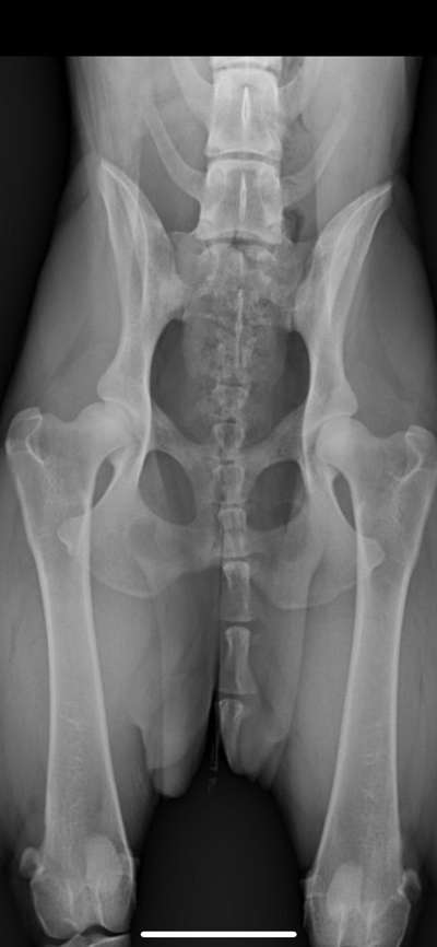
Hab Röntgen Bilder für euch. Lagerung nicht perfekt und bin gespannt was der Doktor zum LÜW sagt...
 
Beitrag-Verfasser
Dogorama-Mitglied
3. Nov. 14:35
1
 
Beitrag-Verfasser
Dogorama-Mitglied
3. Nov. 14:35
2