Home / Forum / Gesundheit / Zahnstein

Verfasser-Bild
Hanna
Einleitungs-Beitrag
Anzahl der Antworten 34
zuletzt 25. Feb.

Zahnstein

Hallo ihr Lieben, lasst ihr Zahnstein eurer Vierbeiner beim Tierarzt entfernen? Bzw. gehört das Entfernen von Zahnstein zur regelmäßigen Prophylaxe? Was macht ihr im Bereich Zahnhygiene? Ich freue mich über Berichte, Erfahrungen und ggf. Empfehlungen für Produkte. LG Hanna
 
Beitrag-Verfasser
Dogorama-Mitglied
Beliebteste Antwort
7. Feb. 19:43
Wir benutzen die EmmyPet und sind super zufrieden. 🥰
 
Beitrag-Verfasser
Dogorama-Mitglied
7. Feb. 19:43
Wir benutzen die EmmyPet und sind super zufrieden. 🥰
 
Beitrag-Verfasser-Bild
Frauke
7. Feb. 20:08
Wir benutzen die EmmyPet und sind super zufrieden. 🥰
Wir auch :)
 
Beitrag-Verfasser-Bild
Hanna
7. Feb. 20:59
Habt ihr die Zähne von Anfang an damit gereinigt? Meint ihr es entfernt auch Zahnstein, wenn sich dieser bereits gebildet hat?
 
Beitrag-Verfasser
Dogorama-Mitglied
7. Feb. 21:02
Habt ihr die Zähne von Anfang an damit gereinigt? Meint ihr es entfernt auch Zahnstein, wenn sich dieser bereits gebildet hat?
Nein, wir haben erst später damit angefangen und ja, den Zahnstein und die Verfärbungen auch abbekommen.

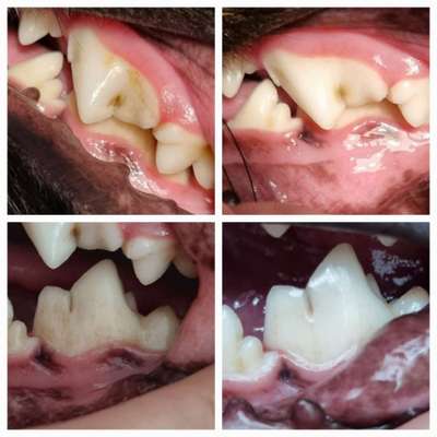
Am oberen Backenzahn konnten wir schon nach der ersten Behandlung einen Teil vom Zahnstein entfernen. Der Rest ging nach und nach weg. Die vorher nachher Fotos sind innerhalb eines Monats erstanden.
 
Beitrag-Verfasser-Bild
Frauke
7. Feb. 21:02
Habt ihr die Zähne von Anfang an damit gereinigt? Meint ihr es entfernt auch Zahnstein, wenn sich dieser bereits gebildet hat?
Auf den Bildern siehst du ja, dass sich bereits Zahnstein gebildet hat.
Mit Connor habe ich erst angefangen als er 3 Jahre alt war.
 
Beitrag-Verfasser-Bild
Karin
7. Feb. 21:45
Super, das sind tolle Ergebnisse bei euch.
Wie funktioniert das bei euch in der Handhabung. Gab es anfängliche Probleme, habt ihr Tipps?
Habe auch von Flocken gehört die über das Futter gestreut wird. Hat da jemand schon Erfahrungen mit gemacht ?
 
Beitrag-Verfasser-Bild
Rita
7. Feb. 21:52
Wir haben die Flocken und zusätzlich Kräcker gegen Zahnstein, hat leider bisher nichts gebracht.
 
Beitrag-Verfasser
Dogorama-Mitglied
7. Feb. 23:42
Wir putzen die Zähne mit der Emmi-Pet und der dazugehörigen Zahncreme und mit einem Fingerling (Fortan & selbstgemachte Kokoszahncreme) im Wechsel.

Zusätzlich gibt es PlaqueOff ins Futter, Trockenfutter mit antibakteriellem Zinksulfat und zertifizierte Kausnacks von Whimzees ;-)

Ich will eine Behandlung unter Narkose unbedingt vermeiden oder zumindest so lange wie möglich hinauszögern.
 
Beitrag-Verfasser
Dogorama-Mitglied
7. Feb. 23:43
Wir haben die Flocken und zusätzlich Kräcker gegen Zahnstein, hat leider bisher nichts gebracht.
Sind diese Flocken und Cracker denn VOHC-zertifiziert? Falls nicht, ist's vermutlich nur Geldmacherei :/
 
Beitrag-Verfasser-Bild
Rita
8. Feb. 09:42
Das ist ein guter Hinweis, ich weiß es leider nicht, weil ich umgefüllt habe, wir haben die Sachen von einer Ernährungsberaterin bekommen.

Kannst du da etwas empfehlen?