Home / Forum / Gesundheit / Tumor Hüfte ??

Verfasser-Bild
Luisa
Einleitungs-Beitrag
Anzahl der Antworten 14
zuletzt 11. Sept.

Tumor Hüfte ??

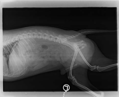
Hallo. Vor ca. 3 Wochen fing mein 10 Jahre alter Jack Russel an zu humpeln. Der Tierarzt sagte es wäre eine Entzündung im Rücken. Nach einigen Medikamenten wurde es einfach nicht besser. Nun waren wir wieder da und er wurde geröntgt. Auf Grund des Röntgenbildes wurde mir gesagt das es wohl ein Tumor ist. Kann jemand mit dem Bild etwas anfangen .. Einen Termin für ein CT haben wir erst am Montag bekommen. Solange halte ich es nicht aus.
 
Beitrag-Verfasser
Dogorama-Mitglied
Beliebteste Antwort
7. Sept. 11:47
Daher rührte meine Frage. Das ist meine Vermutung ebenfalls. Also kann man zusätzlich die Orthopädie nicht sicher beurteilen, was das Lahmen angeht …
Zwei Anhaltspunkte würde ich orthopädisch verorten möglicherweise, allerdings ist schwer zu beurteilen, ob es durch die nicht optimale Lagerung für die Bilder verursacht ist. Das CT und höher auflösende Aufnahmen können da hoffentlich mehr Klarheit bringen. Wenn sich der Verdacht eures Arztes nicht bewahrheitet (was ich hoffe, aber davon hab ich auch keine Ahnung tatsächlich), würde ich alle Bilder, insbesondere die besseren, einem Orthopäden zur Beurteilung zur Verfügung stellen.
 
Beitrag-Verfasser
Dogorama-Mitglied
6. Sept. 20:05
Rückfrage: ist das Bild unter Narkose entstanden oder nicht?
 
Beitrag-Verfasser
Dogorama-Mitglied
7. Sept. 06:52
Zweite Frage: wurde noch eine andere Ebene geröntgt, d. h. gibt es ein oder mehrere weitere(s) Bild(er)?
 
Beitrag-Verfasser-Bild
Melanie
7. Sept. 07:15
Das Röntgenbild ist leider ziemlich schlecht aufgenommen. Die Hüfte ist darauf komplett schief und verzogen.
Man kann zwar eine Art Zubildung am rechten Kopf erkennen, was das aber ist, kann man wegen der schlechten Aufnahme unmöglich sagen.
 
Beitrag-Verfasser-Bild
Melanie
7. Sept. 07:16
Rückfrage: ist das Bild unter Narkose entstanden oder nicht?
So schief, wie die Hüfte ist, glaube ich nicht an Narkose.
 
Beitrag-Verfasser-Bild
Luisa
7. Sept. 10:29
Rückfrage: ist das Bild unter Narkose entstanden oder nicht?
Ja
 
Beitrag-Verfasser-Bild
Luisa
7. Sept. 10:29
Zweite Frage: wurde noch eine andere Ebene geröntgt, d. h. gibt es ein oder mehrere weitere(s) Bild(er)?
Das ist das zweite
 
Beitrag-Verfasser-Bild
Ina
7. Sept. 11:00
Ich denke das kann wirklich nur ein Fachmann(Frau) richtig beurteilen (ob sich die hier befinden?) und fürchte dass du dich dann doch bis Montag gedulden musst....
Er bekommt doch sicher Schmerzmittel, oder ?
Versuche dich nicht zu sehr hineinzusteigern, das hilft weder dir noch deinem Hund..... Ich weiß aus eigener Erfahrung dass das schwer ist, aber irgendwelche, wenn auch gut gemeinten Ferndiagnosen, Prognosen oder Ratschläge machen dich eher noch mehr "verrückt".....
Auch wenns schwer fällt, versuche nicht unentwegt an das Schlimmste zu denken, warte ab bis du eine zuverlässige Diagnose hast... Ich hoffe das sich deine schlimmsten Befürchtungen nicht bewahrheiten, und wünsche euch alles Gute
 
Beitrag-Verfasser-Bild
Luisa
7. Sept. 11:00
Ich denke das kann wirklich nur ein Fachmann(Frau) richtig beurteilen (ob sich die hier befinden?) und fürchte dass du dich dann doch bis Montag gedulden musst.... Er bekommt doch sicher Schmerzmittel, oder ? Versuche dich nicht zu sehr hineinzusteigern, das hilft weder dir noch deinem Hund..... Ich weiß aus eigener Erfahrung dass das schwer ist, aber irgendwelche, wenn auch gut gemeinten Ferndiagnosen, Prognosen oder Ratschläge machen dich eher noch mehr "verrückt"..... Auch wenns schwer fällt, versuche nicht unentwegt an das Schlimmste zu denken, warte ab bis du eine zuverlässige Diagnose hast... Ich hoffe das sich deine schlimmsten Befürchtungen nicht bewahrheiten, und wünsche euch alles Gute
Vielen Dank
 
Beitrag-Verfasser
Dogorama-Mitglied
7. Sept. 11:39
So schief, wie die Hüfte ist, glaube ich nicht an Narkose.
Daher rührte meine Frage. Das ist meine Vermutung ebenfalls. Also kann man zusätzlich die Orthopädie nicht sicher beurteilen, was das Lahmen angeht …
 
Beitrag-Verfasser
Dogorama-Mitglied
7. Sept. 11:47
Daher rührte meine Frage. Das ist meine Vermutung ebenfalls. Also kann man zusätzlich die Orthopädie nicht sicher beurteilen, was das Lahmen angeht …
Zwei Anhaltspunkte würde ich orthopädisch verorten möglicherweise, allerdings ist schwer zu beurteilen, ob es durch die nicht optimale Lagerung für die Bilder verursacht ist. Das CT und höher auflösende Aufnahmen können da hoffentlich mehr Klarheit bringen. Wenn sich der Verdacht eures Arztes nicht bewahrheitet (was ich hoffe, aber davon hab ich auch keine Ahnung tatsächlich), würde ich alle Bilder, insbesondere die besseren, einem Orthopäden zur Beurteilung zur Verfügung stellen.