Home / Forum / Gesundheit / Schwerste HD/ Operation nicht möglich

Verfasser-Bild
Sandra
Einleitungs-Beitrag
Anzahl der Antworten 25
zuletzt 12. Dez.

Schwerste HD/ Operation nicht möglich

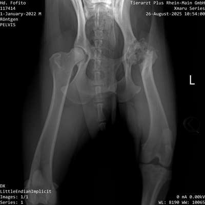
Hallo miteinander 🙂 habt ihr schon mal so eine schlechte Hüfte gesehen? Ich sage immer, mein Hund mit ohne Hüfte. Das betroffene Bein nutzt er quasi nur als Stütze, es ist deutlich weniger bemuskelt als die andere Seite. Er kann sich auch nicht auf die betroffene Seite legen,. Aber kann rennen und toben wie jeder andere Hund. Eine OP ist nicht möglich, da der Knochen so dünn ist, dass kein neues Gelenk halten würde. Bei kleineren/ leichteren Rassen gibt es noch die Möglichkeit den Femurkopf zu entfernen. Aber davon haben uns 3 Tierärzte abgeraten, da Fito mit seinen 43 kg zu schwer wäre. Hat jemand damit Erfahrung?
 
Beitrag-Verfasser
V
Beliebteste Antwort
11. Dez. 16:20
Wo wäre denn dein TA?
Physio oder Osteopathie würde ich unbedingt einplanen. Das ist neben Schmerzmedikation das mindeste was Besserung bringen kann. Sei es durch gezielten Muskelaufbau, Lösen von Blockaden/Ausgleichen/Entlasten der Folgen durch Fehlhaltungen und Co... Ich bin kein Experte bei HD, würde da zu Spezialisten gehen und vermutlich mehrere Meinungen einholen.
Alles Gute für euch, kann mir vorstellen, dass diese Diagnose auch als Halter aehe belastend ist 🍀
 
Beitrag-Verfasser-Bild
Li
11. Dez. 15:00
Hallo. Das tut mir leid für euch.
Ich hatte einen Mischling, der 1990 eine Femurkopfresektion gemacht bekam.
Er wog 25 kg.
Es gab keinerlei Probleme.
Die Heilung verlief zügig.
Der Tierarzt sagte damals, dass es von den meisten Tierärzten nur bei kleinen Hunden gemacht wird, er hätte aber schon einen 60 kg Hund operiert und es hätte alles geklappt. Ich nehme mal an, dass das gestimmt hat, aber von meinem Hund kann ich es halt zu 100 % sagen, dass alles super gelaufen ist.
 
Beitrag-Verfasser-Bild
Sandra
11. Dez. 15:07
Hallo. Das tut mir leid für euch. Ich hatte einen Mischling, der 1990 eine Femurkopfresektion gemacht bekam. Er wog 25 kg. Es gab keinerlei Probleme. Die Heilung verlief zügig. Der Tierarzt sagte damals, dass es von den meisten Tierärzten nur bei kleinen Hunden gemacht wird, er hätte aber schon einen 60 kg Hund operiert und es hätte alles geklappt. Ich nehme mal an, dass das gestimmt hat, aber von meinem Hund kann ich es halt zu 100 % sagen, dass alles super gelaufen ist.
Danke für die Info.
Ich denke auch, dass es machbar wäre, gerade weil er das Bein nicht stark belastet.
 
Beitrag-Verfasser
Stef
11. Dez. 15:20
Meiner hat eine beidseitige Femurkopfresektion. Wir haben ihn so vom Tierschutz übernommen. Er wiegt allerdings "nur" 28 kg.
Er kommt bisher gut klar, hat natürlich ein auffälliges Gangbild, ist kein Langstreckenläufer, darf nicht zunehmen und nicht wild mit Hunden toben.
Wir machen Übungen, wichtig, dass die Muskulatur usw gut ist, bisher aber keine Notwendigkeit von Schmerzmitteln.
Er kann rennen, Treppen steigen, 1,5 Stunden laufen aber ich habe ihn immer im Blick wie er läuft und passe auf, dass es nicht zu viel wird! Er ist mittlerweile 8,5 Jahre alt, die Operationen hatte er schon als Junghund!
Was schlagen die Tierärzte bei dir stattdessen vor?
Warst du schon bei Physio?
 
Beitrag-Verfasser-Bild
Sandra
11. Dez. 15:49
Meiner hat eine beidseitige Femurkopfresektion. Wir haben ihn so vom Tierschutz übernommen. Er wiegt allerdings "nur" 28 kg. Er kommt bisher gut klar, hat natürlich ein auffälliges Gangbild, ist kein Langstreckenläufer, darf nicht zunehmen und nicht wild mit Hunden toben. Wir machen Übungen, wichtig, dass die Muskulatur usw gut ist, bisher aber keine Notwendigkeit von Schmerzmitteln. Er kann rennen, Treppen steigen, 1,5 Stunden laufen aber ich habe ihn immer im Blick wie er läuft und passe auf, dass es nicht zu viel wird! Er ist mittlerweile 8,5 Jahre alt, die Operationen hatte er schon als Junghund! Was schlagen die Tierärzte bei dir stattdessen vor? Warst du schon bei Physio?
Physio mach keinen Sinn, ich will es nicht verschlechtbessern.
Die TA sagen, dass da nichts zu machen ist.
Uu wäre mein Gedanke, eine Goldakkupunktur zu machen.
 
Beitrag-Verfasser-Bild
Sandra
11. Dez. 15:50
Hallo. Das tut mir leid für euch. Ich hatte einen Mischling, der 1990 eine Femurkopfresektion gemacht bekam. Er wog 25 kg. Es gab keinerlei Probleme. Die Heilung verlief zügig. Der Tierarzt sagte damals, dass es von den meisten Tierärzten nur bei kleinen Hunden gemacht wird, er hätte aber schon einen 60 kg Hund operiert und es hätte alles geklappt. Ich nehme mal an, dass das gestimmt hat, aber von meinem Hund kann ich es halt zu 100 % sagen, dass alles super gelaufen ist.
Wo wäre denn dein TA?
 
Beitrag-Verfasser
Stef
11. Dez. 15:56
Physio mach keinen Sinn, ich will es nicht verschlechtbessern. Die TA sagen, dass da nichts zu machen ist. Uu wäre mein Gedanke, eine Goldakkupunktur zu machen.
Ok, ich dachte, dass Physio nochmal einen anderen Blick drauf hat. Beeinträchtigungen wirken sich ja auf den ganzen Körper aus und die gesunden Beine sind ja auch mehr beansprucht und der ganze Körper im "Ungleichgewicht"!
Von Goldimplantaten hört man ja öfter positive Berichte, ich habe damit bisher keine Erfahrung!
 
Beitrag-Verfasser-Bild
Simone
11. Dez. 16:14
Wie alt ist der Hund
 
Beitrag-Verfasser
V
11. Dez. 16:20
Wo wäre denn dein TA?
Physio oder Osteopathie würde ich unbedingt einplanen. Das ist neben Schmerzmedikation das mindeste was Besserung bringen kann. Sei es durch gezielten Muskelaufbau, Lösen von Blockaden/Ausgleichen/Entlasten der Folgen durch Fehlhaltungen und Co... Ich bin kein Experte bei HD, würde da zu Spezialisten gehen und vermutlich mehrere Meinungen einholen.
Alles Gute für euch, kann mir vorstellen, dass diese Diagnose auch als Halter aehe belastend ist 🍀
 
Beitrag-Verfasser-Bild
Li
11. Dez. 16:35
Wo wäre denn dein TA?
Die OP war 1990.
Der Arzt praktiziert nicht mehr.
Zur Goldakkupunktur kann ich auch was beitragen.
Mein Labrador hatte Probleme mit den Hüften und hat eine Goldakkupuntur bekommen.
Da war er 7 Jahre, das war 2012.
Er kam hinten beim Aufstehen schwer hoch, nach der Akkupunktur kam er wieder gut hoch.
Wenn du vorhast, das machen zu lassen, dann wäre Peter Rosin wohl die beste Adresse.
Er hat auch Kooperationspraxen, steht alles auf seiner Seite.
Der Arzt, bei dem mein Hund es damals gemacht bekam, war damals super, wäre aber heute nicht mehr die erste Wahl, weil er heute nicht mehr so gut ist.
Der Physiotherapeut meines Hundes hat das gesagt, da haben wir kürzlich noch drüber gesprochen.
 
Beitrag-Verfasser-Bild
Sandra
11. Dez. 17:13
Wie alt ist der Hund
3 Jahre