Home / Forum / Gesundheit / Kreuzband OP

Verfasser-Bild
MAJA
Einleitungs-Beitrag
Anzahl der Antworten 25
zuletzt 30. Okt.

Kreuzband OP

Hallo, unsere Maja ist jetzt ein Jahr und drei Monate alt und muss wahrscheinlich am rechten Knie beim Kreuzband operiert werden. Ich wollte einfach fragen, ob ihr eure Erfahrung teilen könnt, was euch in der Phase nach der OP besonders geholfen hat da sie ja noch ein Junge Hund ist und natürlich viel Energie hat. Einfach mal so die Erfahrungen etc. Auch wollte ich fragen, ob ihr einfach Produkte habt die euch in der Zeit Mega geholfen haben irgendwelche Spielzeuge oder Unterstützungen Liebe Grüße, Emily
 
Beitrag-Verfasser-Bild
Anja
Beliebteste Antwort
10. Okt. 17:44
Hallo Maja. Unser Ben hatte im Juni die TPLO OP. Es gibt verschiedene KB OPs, je nach Methode wird auch die Rekonvaleszenz entschieden.
Welche OP soll es bei euch werden?
Bei uns war 6 Wochen "Bettruhe" verordnet. Nur zum lösen raus. Begleitend von Tag 1 post OP Physio, nicht aktiv. Nach Fäden ex 2 mal die Woche Physio mit Aqua Laufband.
Er hat das, wider erwartend meinerseits, so gut gemacht, er wollte auch nicht laufen etc.
Bei Sonnenschein sind wir mit ihm im Garten gesessen, er war nicht wirklich motiviert aktiv zu sein.
Sein Bewegungsdrang kam viel später zurück.
Ich möchte dich nicht verunsichern, aber die Zeit nach der OP ist nicht schön. Die geht aber auch vorbei und dann freust du dich das dein Hund ohne Schmerzen laufen kann🦵🏼🍀🎀
 
Beitrag-Verfasser-Bild
Anja
10. Okt. 17:44
Hallo Maja. Unser Ben hatte im Juni die TPLO OP. Es gibt verschiedene KB OPs, je nach Methode wird auch die Rekonvaleszenz entschieden.
Welche OP soll es bei euch werden?
Bei uns war 6 Wochen "Bettruhe" verordnet. Nur zum lösen raus. Begleitend von Tag 1 post OP Physio, nicht aktiv. Nach Fäden ex 2 mal die Woche Physio mit Aqua Laufband.
Er hat das, wider erwartend meinerseits, so gut gemacht, er wollte auch nicht laufen etc.
Bei Sonnenschein sind wir mit ihm im Garten gesessen, er war nicht wirklich motiviert aktiv zu sein.
Sein Bewegungsdrang kam viel später zurück.
Ich möchte dich nicht verunsichern, aber die Zeit nach der OP ist nicht schön. Die geht aber auch vorbei und dann freust du dich das dein Hund ohne Schmerzen laufen kann🦵🏼🍀🎀
 
Beitrag-Verfasser-Bild
Martina
10. Okt. 19:24
Hallo Maja. Unser Anton hat bereits 2 Kreuzband-OPs hinter sich. Juni 2022 und Januar 2024. Beide Male TPLO. Beide OPs sind gut verlaufen. Die ersten 4 Wochen nach der ersten OP war die Hölle. Leider muss ich sagen, dass wir nicht sehr gut beraten und betreut wurden. Anton kam mit Gipsbein raus. Uns wurde nur ein Zettel in die Hand gedrückt wie und was wir machen müssen. Lange Rede kurzer Sinn. Wir hatten es nach 6-8 Wochen gut überstanden. Dann kam leider der zweite Kreuzbandriss 1 1/2 Jahre später. Wir waren in einer Tierarztpraxis wo wir über alles aufgeklärt wurden. Nach der OP konnten wir ihn abholen und ich war so überrascht. Er kam uns mit nur einem Pflaster auf der Wunde entgegen gelaufen. Die erste Woche durfte er nur mehrmals zum lösen für 10 min raus. Immer an kurzer Leine Die Zeit wurde jede Woche um 5 min verlängert. Nach 4 Wochen durfte er dann wieder vorsichtig die Treppe laufen ( wir haben leider 5 Stufen bis zur Wohnungstür sonst Aufzug ). Er ist von Anfang an auf 4 Beinen gelaufen. Kaum gehumpelt. (Während er bei der ersten OP noch 4 Wochen lang auf drei Beinen gelaufen ist) Nach 10 Tagen wurden die Fäden gezogen. Nach 8 Wochen wurde nochmals geröntgt und es war alles super verheilt. Nach 12 Wochen durfte er das erste mal wieder von der Leine. Wir haben zb. Keine Physio gemacht. Ich habe versucht mit ihm die Übungen zu machen, die man empfiehlt, um die Muskulatur wieder aufzubauen. Es hat alles super geklappt. Keine Fehlstellung oder sonst was. Muskulatur ist wieder die alte. Alles in allem kann ich sagen, die ersten 4-5 Wochen ist schon echt anstrengend. Gott sei Dank ist er nicht so Schwer. Du musst ihn schon Treppe hochtragen. Und alles langsam angehen. Besonders vorsichtig musst du sein mit springen auf die Couch und runter sowie springen ins Bett und runter. Also immer Augen auf den Hund. Auch draußen darf er nicht spielen oder springen und rennen. Es ist schwierig einen Hund das zu sagen. Am besten, wenn dein Hund auf die Couch geht hol ihm ne Rampe oder helf ihm hoch und runter. Ich kann nur sagen, es sind die ersten Wochen sehr anstrengend aber auch diese Zeit vergeht schnell. Halte dich an die Anweisungen auch wenn es manchmal schwierig ist. Leider wirst du um einen Trichter nicht rum kommen. Denn man weis es von sich selber, wenn es heilt dann juckt es. Lass deinen Hund nicht an der OP-Narbe lecken. So ich hoffe ich konnte dir ein wenig helfen. Drücke dir die Daumen. Und alles gute für die OP. Berichte mal, wie alles gelaufen ist. Lg 🙏 Die ersten 3 Fotos ist die erste OP die anderen beiden die 2. OP
 
Beitrag-Verfasser-Bild
MAJA
10. Okt. 20:10
Hallo Maja. Unser Ben hatte im Juni die TPLO OP. Es gibt verschiedene KB OPs, je nach Methode wird auch die Rekonvaleszenz entschieden. Welche OP soll es bei euch werden? Bei uns war 6 Wochen "Bettruhe" verordnet. Nur zum lösen raus. Begleitend von Tag 1 post OP Physio, nicht aktiv. Nach Fäden ex 2 mal die Woche Physio mit Aqua Laufband. Er hat das, wider erwartend meinerseits, so gut gemacht, er wollte auch nicht laufen etc. Bei Sonnenschein sind wir mit ihm im Garten gesessen, er war nicht wirklich motiviert aktiv zu sein. Sein Bewegungsdrang kam viel später zurück. Ich möchte dich nicht verunsichern, aber die Zeit nach der OP ist nicht schön. Die geht aber auch vorbei und dann freust du dich das dein Hund ohne Schmerzen laufen kann🦵🏼🍀🎀
Hi vielen Dank für das Teilen eurer Geschichte ❤️

Wir wissen noch nicht welche op. Wir haben Donnerstag erstmal den Termin bei dem Orthopäden und dann gucken wir mal was die Optionen sind.

LG

Emily
 
Beitrag-Verfasser-Bild
MAJA
10. Okt. 20:11
Hallo Maja. Unser Anton hat bereits 2 Kreuzband-OPs hinter sich. Juni 2022 und Januar 2024. Beide Male TPLO. Beide OPs sind gut verlaufen. Die ersten 4 Wochen nach der ersten OP war die Hölle. Leider muss ich sagen, dass wir nicht sehr gut beraten und betreut wurden. Anton kam mit Gipsbein raus. Uns wurde nur ein Zettel in die Hand gedrückt wie und was wir machen müssen. Lange Rede kurzer Sinn. Wir hatten es nach 6-8 Wochen gut überstanden. Dann kam leider der zweite Kreuzbandriss 1 1/2 Jahre später. Wir waren in einer Tierarztpraxis wo wir über alles aufgeklärt wurden. Nach der OP konnten wir ihn abholen und ich war so überrascht. Er kam uns mit nur einem Pflaster auf der Wunde entgegen gelaufen. Die erste Woche durfte er nur mehrmals zum lösen für 10 min raus. Immer an kurzer Leine Die Zeit wurde jede Woche um 5 min verlängert. Nach 4 Wochen durfte er dann wieder vorsichtig die Treppe laufen ( wir haben leider 5 Stufen bis zur Wohnungstür sonst Aufzug ). Er ist von Anfang an auf 4 Beinen gelaufen. Kaum gehumpelt. (Während er bei der ersten OP noch 4 Wochen lang auf drei Beinen gelaufen ist) Nach 10 Tagen wurden die Fäden gezogen. Nach 8 Wochen wurde nochmals geröntgt und es war alles super verheilt. Nach 12 Wochen durfte er das erste mal wieder von der Leine. Wir haben zb. Keine Physio gemacht. Ich habe versucht mit ihm die Übungen zu machen, die man empfiehlt, um die Muskulatur wieder aufzubauen. Es hat alles super geklappt. Keine Fehlstellung oder sonst was. Muskulatur ist wieder die alte. Alles in allem kann ich sagen, die ersten 4-5 Wochen ist schon echt anstrengend. Gott sei Dank ist er nicht so Schwer. Du musst ihn schon Treppe hochtragen. Und alles langsam angehen. Besonders vorsichtig musst du sein mit springen auf die Couch und runter sowie springen ins Bett und runter. Also immer Augen auf den Hund. Auch draußen darf er nicht spielen oder springen und rennen. Es ist schwierig einen Hund das zu sagen. Am besten, wenn dein Hund auf die Couch geht hol ihm ne Rampe oder helf ihm hoch und runter. Ich kann nur sagen, es sind die ersten Wochen sehr anstrengend aber auch diese Zeit vergeht schnell. Halte dich an die Anweisungen auch wenn es manchmal schwierig ist. Leider wirst du um einen Trichter nicht rum kommen. Denn man weis es von sich selber, wenn es heilt dann juckt es. Lass deinen Hund nicht an der OP-Narbe lecken. So ich hoffe ich konnte dir ein wenig helfen. Drücke dir die Daumen. Und alles gute für die OP. Berichte mal, wie alles gelaufen ist. Lg 🙏 Die ersten 3 Fotos ist die erste OP die anderen beiden die 2. OP
Auf jeden Fall vielen Dank für deine Erfahrungen. Das zeigt nochmal so sehr wie doll man drauf achten muss zu welchem Arzt man geht aber meistens weis man es erst danach ob der Arzt der richtige war 🥹. Aber es freut mich sehr zu hören das die andere op so gut verlaufen ist. 🥰
 
Beitrag-Verfasser-Bild
Leas
11. Okt. 10:05
Hallo Maja,

unsere Lea wurde auch gerade per TPLO operiert. An beiden Knien, relativ kurz hintereinander (30.5. und dann gleich 1.8., weil dann das zweite KB schon ganz durch war). Sie war bei den ersten TA-Besuchen ca. 1 1/2, allerdings hat es bis zur richtigen Diagnose leider etwas gedauert. Die erste OP hatte sie mit fast 2 Jahren. Die Wunden sind beide schnell und problemlos verheilt; auch weil Lea wirklich nie daran schlecken konnte (Trichter). Sie hatte nach der OP auf der ersten nur ein Pflaster und auf der zweiten überhaupt nur ein Sprühpflaster (gleiche Klinik).

Lea ist von der Rasse her ein High-Energy-Hund, der jeden Tag gefordert werden will. Vor den Problemen mit dem Laufen (die nicht immer schlimm waren, d.h. unser Hoopers-Trainer hat sie z.B. bis zum Schluss nie bemerkt, weil sie da einfach nie was gezeigt hat) war sie es gewohnt, jeden Tag mind. 1 Stunde auf der Hundewiese mit ihren Kumpels zu toben + eine ausgedehnte Wald- und Wiesen-Runde von 1-2 Stunden zu machen + spielen und/oder trainieren im Garten + 2x pro Woche Training in der HuSchu. Damit war sie absolut happy und zuhause und im Büro der ausgeglichenste Hund.

Dementsprechend hatten wir irre Angst vor der Zeit nach der OP.

Die Wohnung wurde umfassend vorbereitet: Wir haben den Boden durchgehend rutschfest gemacht (alte Teppiche, Teppichreste, Teppichfliesen), unsere Matratze liegt jetzt im WoZi auf dem Boden, wo wir mit ihr schlafen (Schlafzimmer ist zu), die Couch flog raus, der Fernsehsessel ist immer dann, wenn niemand auf ihm sitzt, verstellt, wir haben eine Eigenbau-Rampe auf der Treppe zur Wohnung und sogar eine mit Gras bepflanzte Eigenbau-Pipibox auf dem Balkon (wurde aber nur zum Sitzen und Sonnen und später auch zum Buddeln benutzt 😒).

Damit fahren wir seit mehr als 4 Monaten sehr gut - Konsequenz war aber sehr wichtig: Kein Laufen, kein Springen, kein Toben, keine Treppen (Treppen werden noch länger tabu sein) und den Bewegungsplan vom TA immer einhalten, d.h. über 3 Wochen nur 3x pro Tag max. 5-10 Minuten an der kurzen Leine und im Schritttempo raus, danach nur langsam länger. Nach der ersten OP waren wir z.B. nach zwei Monaten bei 3x max. 20 Minuten… Es hat sich Stand heute aber wirklich gelohnt. Die Orthopädin, bei der Lea Physio macht (Laser seit dem Fädenziehen + Unterwasserlaufband seit die Wunde ganz zu ist) ist vom Heilungsverlauf begeistert 😁

Die Zeit zwischen den Spaziergängen war aber oft mühsam. Lea sollte ja auch nicht zunehmen wegen der Gelenke, also fielen die meisten Intelligenzspiele und typischen Tipps wie Schleckmatten zur Beschäftigung eher weg, da futterbasiert. Einmal am Tag wars okay, aber das reichte der Kleinen einfach nicht…

Von der Tierklinik gabs nach der OP, neben den Schmerzmitteln, auch beruhigende Medikamente mit (geben sie immer). Die ersten Tage waren damit recht entspannt. Danach haben wir ihr stattdessen in Absprache mit dem TA CBD-Tropfen gegeben. Wir haben den Eindruck, das funktioniert.

Wir haben auch trotzdem viel Zeit im Freien verbracht: max. 10 Minuten gehen wurde strikt eingehalten, aber wir haben uns oft einfach auf eine Wiese gesetzt und die Kleine beobachten lassen. Obwohl sonst ein Hibbel, hat das einwandfrei entspannt funktioniert - natürlich war der Abstand zu möglichen Reizen mit Absicht enorm. So konnten wir pro Ausgang schon mal eine Stunde oder mehr rumsitzen - danach war in der Wohnung gut Ruhe. Wir hatten aber auch das Glück, dass wir die warme Jahreszeit erwischt haben…

Jetzt wo es kälter und ungemütlicher wird, kommen bei uns vermehrt kalorienarme Kaustangen aus Rinderhaut zum Einsatz. Oder Karotten. Oder wir lassen Lea kleine Joghurtbecher ausschlecken - je schwieriger, desto effektiver. Laktosefrei und fettarm hat sich hier am besten bewährt. Gurken gingen am Anfang, jetzt aber nicht mehr. Leckerli ersetzen wir mit gekochtem Hühnchen oder aktuell eher Pute.

Die Zoomie-Schübe fangen wir mit Übungen zur Frustrationstoleranz ab: Sie muss sich hinlegen (Liegeposition egal und egal wo, ist eh schwer genug; meistens im „Bett“) und liegenbleiben. Oft schläft sie dabei dann ein 😅 Aber ja, manchmal muss man in diesen Phasen erst einmal laut werden, um zu ihr durchzudringen…

Mittlerweile hat Lea schon etwas mehr Freiheiten, ist aber insgesamt weniger hibbelig als davor. Ist jetzt vielleicht auch langsam raus aus der Pubertät?

Rückblickend war die erste Zeit enorm intensiv, aber wir sind alle daran gereift. Und zugenommen hat die Kleine auch nur 1kg; das kriegen wir wieder runter, sobald sie aus dem Gröbsten raus ist!

Die operierten Beinchen hat sie ab Tag 1 oder 2 vorsichtig aufgesetzt. Hinhocken zum Lösen klappte von Anfang an und war natürlich auch erlaubt. Im Schritt war das Humpeln schon nach 1-2 Wochen nur noch minimal, im Trab aber erst später. Im Stehen hat sie das operierte Beinchen sehr lange entlastet. Laut Physio ist das aber unbedenklich und gibt sich mit der Zeit. Humpeln sieht man sie mittlerweile gar nicht mehr.

Wir waren nach der ersten OP auch unglaublich besorgt, weil sie sich vom ersten Tag an beim Schlafen auf das operierte Beinchen gelegt hat - der Chirurg hat uns aber beruhigt: Das schadet nicht, und wenn es für sie bequem ist, ist das okay.

Ist ein langer Text geworden, sorry. Ich hoffe, er hilft euch ein wenig - ich habe vor der ersten OP nächtelang nach Erfahrungsberichten gesucht und sie alle verschlungen 🫣 Ich glaube, ich habe über alles erzählt, zu dem wir damals Fragen hatten 😁

Alles Gute für euch - und erzähl gerne einmal, wie es bei euch läuft!
 
Beitrag-Verfasser
Ute
11. Okt. 16:35
Ich hatte bis Oktober 2018 eine Westidame, die einen Kreuzbandriss bekam. Das war ihre erste OP. Es war aufgrund der Patellasehne, die durch Überzüchtung nicht richtig lag. Der TA erklärte damals, dass gewöhnlich später die andere Seite operiert werden müsste und natürlich war es auch der Fall. Er sagte, dass unsere Hündin nie mehr mit den künstlichen Kreuzbändern alle 4 von sich machen könnte. Jedoch hat sie ihm das Gegenteil bewiesen. Nach ihrer 1. OP. Hatte sie Borreliose durch einen Holzbock. Aber Terrier sind Kämpfer. Das möchte ich nie mehr erleben bei einem Hund. Mach dir wegen dieser OP keine großen Sorgen. Die Tiere kommen recht schnell damit klar und mit dem dicken Verband (falls es den heute überhaupt noch gibt). Wir haben eine Magnetfeldtherapie gemacht und so ging es unserer Hündin besser. Sie hatte in ihrem fast bis auf 3 Monate - 17-jährigen Leben 7 OP‘s. Nach den Kreuzbändern eine Augen-OP, dann eine Gebärmutterentfernung (geschlossene Entzündung, alles voller Eiter somit Blutvergiftung, die am Wochenende ihr fast das Leben gekostet hätte- sie war damals 7 Jahre) wurde Sonnabend nachmittag notoperiert. Dann kam nochmal eine Kreuzband-OP, da Verdacht auf Abriss des künstlichen Kreuzbands, jedoch es war heftige Arthrose. Dann kam eine Zahn-OP und schließlich wenige Wochen vor ihrem Einschläfern noch eine Augen-OP (es hätte das Auge auslaufen können) . Schließlich wollte ihr Herz nicht mehr und wir mussten uns leider verabschieden
(was das Schlimmste für mich war). Ich wollte keinen Hund mehr haben, aber ich war kein Mensch mehr und so musste ein neuer Hund her. Sie ist auch weiß, Mischling Vater Westi und Mama schwarze Cairnterrierin. Nun ist sie bereits über 7 Jahre alt.
Mir fällt noch ein, du könntest wegen einer Wassertherapie fragen. Die hilft auch nach einer OP. Bei den Menschen wird solche auch angewendet bei Problemen mit Arthrose und Schmerzen.
 
Beitrag-Verfasser-Bild
Anja
16. Okt. 20:16
Hey, wie war der Termin heute? Was sagt der Orthopäde?
 
Beitrag-Verfasser-Bild
Evi
16. Okt. 21:04
Mein Boxer Ben wurde am 10.08. auch am Kreuzband operiert. TPLO. Bei uns war nur die erste Nacht wirklich schlimm.Wohne alleine im 1. OG. Und nachts den Hund runter bringen war trotz Aufzug schlimm. Ich stand heulend im Treppenhaus und habe mir einen Mann gewünscht. Aber dann ging's am zweiten Tag post-OP schon wieder auf drei Beinen ganz gut. Spielen wollte er zu Beginn von sich aus gar nicht. Ansonsten liegen wir beide gerne auf der Couch und machen Quatsch. Ben darf in meine Hände beißen und eine spezielle Variante des Ball spielen haben wir auch.🤣Physio machen wir zu Hause nach Anleitung der Tierärztin. Das macht Ben auch Spaß.
 
Beitrag-Verfasser-Bild
Patrick
17. Okt. 03:40
Mein Buddy hatte im letzten Jahr auch innerhalb von 10 Wochen zwei TPLO Operationen.
Es kommt da wahrscheinlich auf den Hund und die Erfahrung des operierenden Arztes an.
Bei uns lief es beide Male überraschend gut.
Ich wohne im 1.Stock und habe ihn die erste Woche mit einem Gurt hinten entlastet und die Treppe runter und hoch geholfen. Danach konnte er es wieder selbständig.
Nach der ersten OP bin ich regelmäßig zur Physio, nach der 2. habe ich das selber gemacht.
Nach acht Wochen durfte er wieder von der Leine und frei laufen.
 
Beitrag-Verfasser-Bild
MAJA
17. Okt. 09:42
Hey, wie war der Termin heute? Was sagt der Orthopäde?
Hi, erstmal danke der Nachfrage, also es war irgendwie ganz komisch.

Die Ärztin meinte das sie VERMUTET das beide Knie angerissen sind und das sie da auch schon Arthrose drin hat und sowas alles und das sie ja dann auch noch direkt kastrieren würde.

Das Ding ist Maja läuft nicht 100% rund aber zeigt auch keine Schmerzen und läuft jetzt auch nicht so schlecht das es auffallen würde wenn man nicht drauf achten würde. Wir werden uns jetzt eine zweite Meinung holen weil sich das für uns sehr nach ”ich muss Geld verdienen“ angehört hat.

Wir haben danach auch mit der Züchterin telefoniert.

(Also nur zur Erklärung Maja springt rennt und steht auch auf den Hinterbeinen und geht auch in die Leine ohne auch nur ein Anzeichen zu machen das sie Schmerzen zu machen was uns so stutzig macht.)

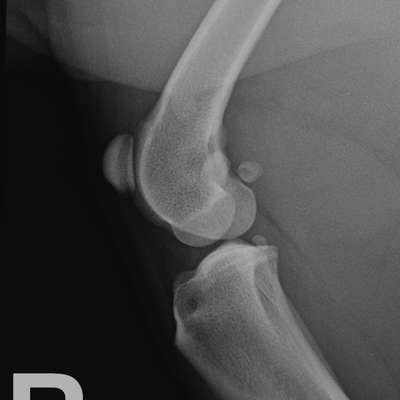
Ich hab’s ich mal das eine Röntgenbild angehangen für das rechte Knie.

Maja sollte nämlich auch nüchtern zum Termin kommen, um ein Röntgenbild in Narkose zu machen und das ist zum Beispiel auch nicht passiert. Also es wurde direkt gesagt sozusagen operieren, obwohl sie sich nicht 100-prozentig sicher ist, dass da was kaputt ist. Sie hat versucht den Schubladentest zu machen aber bei einer sehr muskulär Bulldogge ist das so gut wie unmöglich und sie meinte da etwas Instabilität zu spüren.

Bin gespannt was eure Meinung ist

LG

Emily