Home / Forum / Gesundheit / Knochenhautentzündung

Verfasser-Bild
Sabine
Einleitungs-Beitrag
Anzahl der Antworten 71
zuletzt 21. Nov.

Knochenhautentzündung

Ich hatte vor ein paar Tagen einen Thread erstellt, weil meine 10 Monate alte Hündin einen Chip / Knochensplitter am Knie haben sollte, der operativ hätte entfernt werden müssen. Jetzt rief mich gestern meine Tierärztin an, dass sie Rücksprache mit dem Arzt gehalten hat, der sie hätte operieren sollen. Ende vom Lied ist, dass die gute Nachricht war, dass sie keinen Knochensplitter hat (das war wohl ein ganz normaler Knochenteil 🤷🏻‍♀️). Die schlechte Nachricht ist, dass sie eine Knochenhautentzündung hat. Sie hat sich mehrmals entschuldigt, weil sie das falsch eingeschätzt hat... Wir sollen es jetzt erstmal ruhig mit ihr angehen lassen und das entzündungshemmenden Schmerzmittel weitergeben. Wenn es nicht besser wird, soll ich nochmal bei dem Arzt, der sie hätte operieren sollen, vorstellig werden. Da wir nur telefoniert hatten, bin ich aber grad irgendwie jetzt etwas überfordert, bzw es fehlen mir da ein paar Informationen. Wie lange dauert sowas? Muss nicht in jedem Fall später nochmal ein Röntgenbild gemacht werden? Heilt das völlig aus oder kann sie davon Schäden behalten? Raya ist halt 10 Monate alt und hat 60cm Rückenhöhe. Bin über Tips und Erfahrungen dankbar...
 
Beitrag-Verfasser-Bild
Kati
Beliebteste Antwort
15. Nov. 13:11
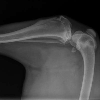
Vorab: die Qualität des Bildes hier auf dem Handy reicht nicht für eine valide Beurteilung. Röntgenbilder werden an speziellen Monitoren beurteilt und das nicht ohne Grund.

Was sehen wir?
In Grün eingekreist die beiden Sesambeine. Oben die Patella und unten die beiden Sesambeine vom M. gastrocnemi (Kniekehlmuskel). Die gehören beide da hin.
In Gelb die Wachstumsfuge des Schienbeins.
In Rot ist 1. das, was ich für die Knochenhautentzündung halten würde am Oberschenkel.
Rot 2 könnte man tatsächlich als Gelenk-Chip interpretieren, allerdings ist die Aufnahme etwas verkippt, das mag also auch an der Überlagerung liegen.

Nichtsdestoweniger solltest du mit deiner TA reden und sie bitten dir das Röntgen zu erklären. Das dient zum einen deiner Beruhigung und zum anderen auch irgendwo der Qualitätskontrolle der Praxis. Also ich hätte keinen Kunden gern mit solchen Fragezeichen entlassen.

Zur Knochenentzündung wurde schon viel gesagt. Aber auch da sammle bitte einfach deine Fragen nochmal und stelle sie deiner TA.
 
Beitrag-Verfasser-Bild
Sylvia
15. Nov. 08:09
Das hatte unsere in dem Alter auch. Wir haben sie so weit es geht ruhig gehalten. Nach dem Futter wurde gefragt, da dieses nicht so hochwertig sein sollte um übermässig schnelles Wachstum zu verhindern. Es hat ein paar Wochen gedauert, ist aber vollständig weggegangen. Das Röntgenbild sah aber nicht so heftig aus. Vertrau auf den Orthopäden
Bild anklicken
 
Beitrag-Verfasser
Dogorama-Mitglied
15. Nov. 08:18
Unser Sammy hatte das auch, als wir ihn mit gut 1 Jahr übernommen haben. Es hieß bei uns auch ruhig halten und schnelles Wachstum vermeiden (Futter). Er bekam entzündungshemmendes Schmerzmittel. Nach ein paar Monaten war alles weg.
 
Beitrag-Verfasser-Bild
Sabine
15. Nov. 08:19
Das hatte unsere in dem Alter auch. Wir haben sie so weit es geht ruhig gehalten. Nach dem Futter wurde gefragt, da dieses nicht so hochwertig sein sollte um übermässig schnelles Wachstum zu verhindern. Es hat ein paar Wochen gedauert, ist aber vollständig weggegangen. Das Röntgenbild sah aber nicht so heftig aus. Vertrau auf den Orthopäden Bild anklicken
Nicht so heftig wie das von Raya? Ich seh da gar nichts drauf........ 🫣
 
Beitrag-Verfasser-Bild
Sylvia
15. Nov. 08:23
Nicht so heftig wie das von Raya? Ich seh da gar nichts drauf........ 🫣
Oben wo der Kringel ist. Da ist der Knochen aufgetrieben. Ist ja eine andere Röntgenperspektive und anderes Gelenk.
 
Beitrag-Verfasser-Bild
Sylvia
15. Nov. 08:26
Nicht so heftig wie das von Raya? Ich seh da gar nichts drauf........ 🫣
Du kannst deine Bilder ja auch nochmal von einem weiteren Orthopäden befunden lassen.
 
Beitrag-Verfasser-Bild
Sabine
15. Nov. 09:00
Chat GPT sieht gar keine Knochenhautenzündung auf dem Bild 🫣
Ich ruf am Montag noch al bei dem Orthopäden an
 
Beitrag-Verfasser-Bild
Michi
15. Nov. 09:38
Oh, als hätte ich es geahnt, eine Fehldiagnose 😄
Knochenhautentzündung haben im Wachstum nicht wenige Hunde.
Nicht zu energiereich füttern und nicht überanspruchen, dann wird in der Regel alles wieder gut und es heilt komplett aus.
Wenn keine Symptome mehr da sind, muss später auch kein Röntgenbild mehr gemacht werden.
 
Beitrag-Verfasser-Bild
Sabine
15. Nov. 09:54
Oh, als hätte ich es geahnt, eine Fehldiagnose 😄 Knochenhautentzündung haben im Wachstum nicht wenige Hunde. Nicht zu energiereich füttern und nicht überanspruchen, dann wird in der Regel alles wieder gut und es heilt komplett aus. Wenn keine Symptome mehr da sind, muss später auch kein Röntgenbild mehr gemacht werden.
Vielen Dank für deine Antwort!
Kannst du denn auf dem Röntgenbild was sehen von der Knochenhautentzündung? Woher weiß ich denn, dass es ausgeheilt ist? Sie bekommt ja Schmerzmittel. Wobei sie immernoch komisch geht und sitzt.... :/
 
Beitrag-Verfasser-Bild
Michi
15. Nov. 10:02
Vielen Dank für deine Antwort! Kannst du denn auf dem Röntgenbild was sehen von der Knochenhautentzündung? Woher weiß ich denn, dass es ausgeheilt ist? Sie bekommt ja Schmerzmittel. Wobei sie immernoch komisch geht und sitzt.... :/
Ich kann das Röntgenbild nicht beurteilen. Bis es ausgeheilt ist dauert es ein paar Wochen. Das geht nicht so schnell, wird aber langsam immer besser werden. Gegen die Entzündung bekommt sie ja auch was. Mit dieser Diagnose kannst du wirklich sehr glücklich sein.
Schon sie etwas und überprüf mal das Futter. Zu energiereich ist nicht gut, denn die Tierschutzhunde sind ja vorher auch nicht sehr hochklassig gefüttert worden. Keinesfalls was für aktive Hunde.
 
Beitrag-Verfasser-Bild
Annette
15. Nov. 10:08
Vielen Dank für deine Antwort! Kannst du denn auf dem Röntgenbild was sehen von der Knochenhautentzündung? Woher weiß ich denn, dass es ausgeheilt ist? Sie bekommt ja Schmerzmittel. Wobei sie immernoch komisch geht und sitzt.... :/
Hast du evtl eine gute Physio bei dir in der Nähe. Man kann in so einer Phase,wenn der Hund nicht heftig belasten soll, mit Gleichgewichtsübungen beginnen. Physio können viele Tipps geben damit der Hund schnell ein besseres Körpergefühl bekommt. Das hilft jetzt >weil es nicht zu Überlastung anderer Strukturen kommt und später> als Prophylaxe weil die Bewegungsqualität verbessert wird. Du lernst ausserdem eventuelle Schwachstellen deines Hundes früh kennen und kannst es gut im Auge behalten und Übungen dagegen machen.