Home / Forum / Gesundheit / Hund humpelt

Verfasser-Bild
Wibke
Einleitungs-Beitrag
Anzahl der Antworten 15
zuletzt 11. Mai

Hund humpelt

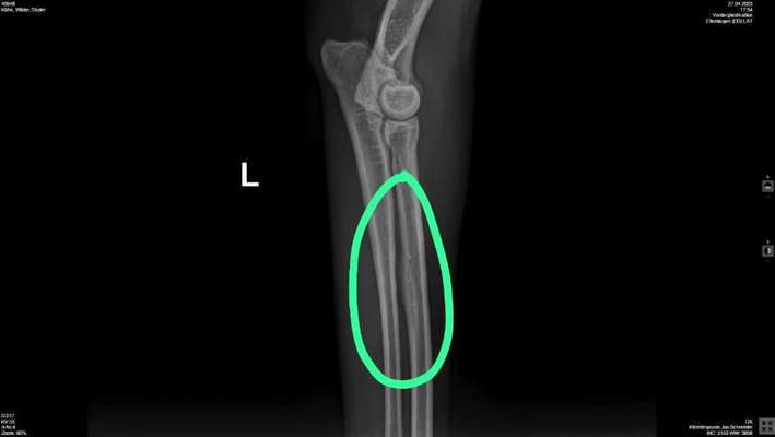
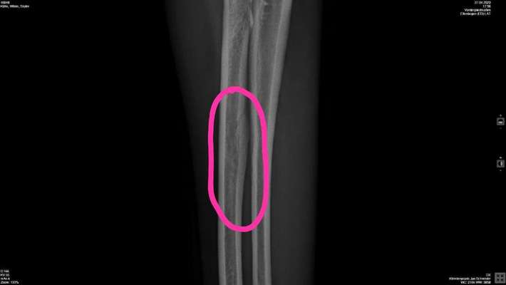
Seit Samstag humpelt Skyler immer mal wieder. Am Montag waren wir beim Tierarzt. Es wurde erstmal nichts gravierendes festgestellt. Sie bekam dann erstmal ein Schmerzmittel und wir sollen weiter beobachten. Leider trat bisher keine Besserung ein. Vor allem nach längerem Liegen wird es eher schlimmer. Gestern sind wir dann nochmal zum Tierarzt. Dort wurden die Vorderbeine geröntgt. Sie hat an beiden Vorderbeinen Veränderungen am Knochen. Was genau das nun ist wissen wir bisher nicht. Müssen jetzt noch zu einem Spezialisten. Leider haben wir erst am 9.5. einen Termin bekommen. Ich bin im Moment ziemlich traurig. Die Maus ist noch nicht mal drei Jahre alt und dann schon sowas. Habt ihr noch Ideen wie ich der Maus bis dahin das Leben erleichtern kann?
 
Beitrag-Verfasser-Bild
Wibke
Beliebteste Antwort
9. Mai 19:16
Heute waren wir bei einem Orthopäden/Chirurg für Hunde. Erstmal ist im Moment in nicht deutlich feststellbar ob Skyler noch Schmerzen hätten da sie ja unter Schmerzmitteln steht. Das Röntgenbild ist wohl nicht schlimm. Das was so aufgeschwemmt aussiehst ist die Stelle, wo die Sehne mit dem Knochen verbunden ist. Es ist bei Skyler deutlich ausgeprägter als normal. Nur bei der Untersuchung war die linke Schulter etwas in der Bewegung eingeschränkt. Wir setzen jetzt erstmal die Schmerzmittel ab, um rauszufinden, ob die Schmerzen tatsächlich weg sind oder ob sie nur "unterdrückt" sind. Wenn kein humpeln mehr kommt, alles gut, wenn das humpeln wieder los geht, haben wir nächsten Dienstag einen Termin, an dem dann in Sedierung die Schulter genauer betrachtet wird. Also weiter Daumen drücken.
 
Beitrag-Verfasser-Bild
Kati
28. Apr. 08:13
An die Leine, schonen und ich würde das Schmerzmittel weiter geben. Mehr kann man da nicht machen 🤷‍♀️
Wenn ihr dann eine konkrete Diagnose habt sind da wieder mehr Optionen😉
 
Beitrag-Verfasser-Bild
Karin
28. Apr. 08:31
Sowas ist echt bitter.
In der Wohnung Denkspiele anbieten wie z.b. Leckerli unter 3 Becher verstecken, Leckerli in Küchentuch verknoten...damit sie vom Kopf wenigstens etwas ausgelastet ist, ansonsten an der Leine kurze Wege gehen, aufpassen bei Hundebegegnungen, springen und rennen untersagen... das schönste im Leben leider verbieten aber es kommen ja bestimmt wieder bessere Zeiten. Alles gute euch.
 
Beitrag-Verfasser
Dogorama-Mitglied
28. Apr. 11:59
Hallo, ich wünsche euch erstmal ein gemütliches Wochenende bei hoffentlich schönem Wetter..Vielleicht in der Natur ein schönes Plätzchen suchen zum picknicken für die Menschen und Schnüffeln und Leckerchen suchen für die hübsche Maus. Alles Gute für Euch und nicht Dr. Google fragen🍀🍀🍀
 
Beitrag-Verfasser
Dogorama-Mitglied
28. Apr. 12:05
Stell das doch mal in die medizinische Sprechstunde rein. Das sind Ärzte die dir vielleicht helfen können.
 
Beitrag-Verfasser
Dogorama-Mitglied
28. Apr. 13:25
Ich bin etwas geschockt.
Wenn Tierärzte inzwischen planlos sind.
Warum fragt der behandelnde Tierarzt nicht bei Kollegen?

Für mich sieht es nach einer Knochenhautentzündung aus.

Lässt sich hervorragend homöopatisch behandeln.
 
Beitrag-Verfasser-Bild
Kati
28. Apr. 13:30
Ich bin etwas geschockt. Wenn Tierärzte inzwischen planlos sind. Warum fragt der behandelnde Tierarzt nicht bei Kollegen? Für mich sieht es nach einer Knochenhautentzündung aus. Lässt sich hervorragend homöopatisch behandeln.
Was hat es bitte mit planlos zu tun seine Grenzen zu kennen und zu einem Spezialisten zu schicken?

Für Panostitis ist der Hund eigentlich schon Recht alt. Deswegen wird sie wegschicken und das ist auch richtig.
 
Beitrag-Verfasser-Bild
Simone
3. Mai 18:44
Hast du neue Erkenntnis?
 
Beitrag-Verfasser-Bild
Wibke
3. Mai 18:45
Hast du neue Erkenntnis?
Bisher noch nicht. Am 9.5. haben wir einen Termin bei einem Spezialisten.
 
Beitrag-Verfasser-Bild
Simone
3. Mai 18:46
Bisher noch nicht. Am 9.5. haben wir einen Termin bei einem Spezialisten.
Ok danke ich bin echt gespannt
 
Beitrag-Verfasser-Bild
Wibke
3. Mai 18:49
Ok danke ich bin echt gespannt
Ich werde berichten.