Home / Forum / Gesundheit / HD Junghund

Verfasser-Bild
isabell
Einleitungs-Beitrag
Anzahl der Antworten 23
zuletzt 23. Dez.

HD Junghund

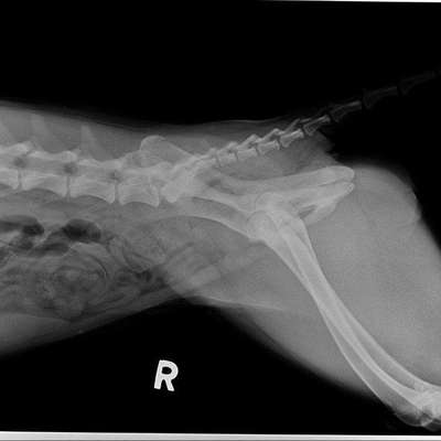
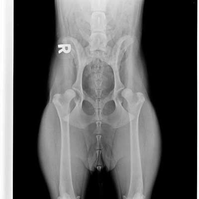
Hallo🙋🏻‍♀️ Wir haben im Mai einen Welpen aus Rumänien adoptiert. Sie war immer schon sehr hüpfend beim laufen und sehr gelenkig. Nun hatte sie vor einem Monat Schmerzen nach kurzem toben, weshalb wir gleich zum Arzt sind. Es gab Schmerzmittel und wir sollten das weiter beobachten. Als es wieder kam, sind wir direkt wieder zum Arzt und haben für letzte Woche einen Termin zum röntgen bekommen. Diagnose: Schwere HD. Unsere Ärztin hat uns Zusätze und Physio empfohlen und gab uns Hoffnung, dass das vllt wieder werden könnte, da sie erst ca.10 Monate alt ist. Hab hier jemanden Erfahrung damit? Tipps? Wir wohnen in der Nähe von Bielefeld und überlegen ob wir uns in einer Klinik bezüglich einer Operation beraten lassen sollten, da wären wir über Erfahrungen ebenfalls sehr dankbar 🙏🏻 Wichtig wäre, dass wir eine OP auf Raten zahlen können!
 
Beitrag-Verfasser
Dogorama-Mitglied
Beliebteste Antwort
13. Okt. 12:54
Das sieht im Röntgenbild echt übel aus.
Unser Labbi Benny hat auch HD, ein kleines bisschen weniger schlimm als Ylvie.

Wichtig ist ein guter Stützapparat aus Muskeln und Bindegewebe, der die Hüftgelenke entlastet. Dafür ist Physio, insbesondere Unterwasserlaufband, zu empfehlen.
Bestimmte Bewegungen vermeiden, da die Hüften sonst rausspringen können.
Futterzusätze für die Gelenke zur Unterstützung.

Wir sind mit Benny im Tiergesundheitszentrum Grußendorf in Bramsche. Herr Grußendorf selbst ist Spezialist für künstliche Hüftgelenke, wobei es noch andere OPs gibt. Manche davon müssen gemacht werden, solange der Hund noch im Knochenwachstum ist.

Ich würde raten, so schnell wie möglich zu einem Spezialisten (Orthopäden) in einer Klinik zu gehen, und sich dort beraten zu lassen.

Für weitere Infos kannst Du auch hier in die Gruppen mit entsprechenden Themen schauen.
https://dogorama.app/de-de/gruppen/HD_und_ED_sich_austauschen-INxFDQZCkaYcrqVQPnTC/
 
Beitrag-Verfasser
Dogorama-Mitglied
13. Okt. 12:54
Das sieht im Röntgenbild echt übel aus.
Unser Labbi Benny hat auch HD, ein kleines bisschen weniger schlimm als Ylvie.

Wichtig ist ein guter Stützapparat aus Muskeln und Bindegewebe, der die Hüftgelenke entlastet. Dafür ist Physio, insbesondere Unterwasserlaufband, zu empfehlen.
Bestimmte Bewegungen vermeiden, da die Hüften sonst rausspringen können.
Futterzusätze für die Gelenke zur Unterstützung.

Wir sind mit Benny im Tiergesundheitszentrum Grußendorf in Bramsche. Herr Grußendorf selbst ist Spezialist für künstliche Hüftgelenke, wobei es noch andere OPs gibt. Manche davon müssen gemacht werden, solange der Hund noch im Knochenwachstum ist.

Ich würde raten, so schnell wie möglich zu einem Spezialisten (Orthopäden) in einer Klinik zu gehen, und sich dort beraten zu lassen.

Für weitere Infos kannst Du auch hier in die Gruppen mit entsprechenden Themen schauen.
https://dogorama.app/de-de/gruppen/HD_und_ED_sich_austauschen-INxFDQZCkaYcrqVQPnTC/
 
Beitrag-Verfasser-Bild
Eva
13. Okt. 13:04
Unsere Kleine hatte Ed mit 7 Monaten ,musste operiert werden vor allem schnell, weil die jungen Gelenke sich noch im Wachstum befanden. Das war zwar eine schlimme Zeit für alle, aber zur Zeit geht's gut. Darum schnell abklären lassen ist vielleicht besser. Alles gute für euch und eure kleine.
 
Beitrag-Verfasser
vs
13. Okt. 15:24
Hallo. Wenn man das Thema HD im Internet eingibt, bekommt man hunderte Antworten. Ich spreche aus Erfahrung. Nur kann ich aber zum ersten Mal auch meine Erfahrungen hier Mal jemanden mit auf dem Weg geben und ich hoffe,es hilft.
Meine hat schwerste Hd auf beiden Seiten.Alle haben mir zu einer OP geraten. Ich habe aber anders entschieden und meinem Hunde Orthopäden voll vertraut und bin mehr wie positiv überrascht und mega happy. Meine Hündin hat Goldimplantate bekommen,das war vor ca 4 Monaten. Wir waren letzte Woche beim Kontrolltermin und meine kleine ist nun komplett, also zu 100% Schmerzfrei! Ich würde immer wieder diese Behandlung machen ! Es gibt wohl nicht viele Tierärzte,die das können.ich habe das Internet hoch und runter im Vorfeld durchsucht. Bei manchen OP Versicherungen wird diese Methode sogar übernommen. Ich hoffe,ich konnte dir etwas helfen und ihr bleibt positiv. Liebe Grüße
 
Beitrag-Verfasser-Bild
Britta
13. Okt. 17:08
Hallo Isabel, unsere Trulla hat auch eine schwere hd beidseitig. Wir haben bei ihr eine Femurkopfresektion ( geht nur bei Hunden bis 20 kg) an der schlechtesten Hüfte machen lassen und sie bekommt seit 9 Jahren Physiotherapie. Natürlich mache ich auch Übungen mit ihr zuhause. Vor 5 Jahren haben wir zusätzlich Goldimplantate einsetzen lassen. Seitdem läuft sie wieder gut und benötigt auch keine zusätzlichen Schmerzmittel. Mittlerweileist sie 13 Jahre alt.
 
Beitrag-Verfasser-Bild
Inés
17. Okt. 17:46
Neve wurde auch gerade erst mit HD diagnostiziert und wir sind sehr verunsichert, weil der Arzt von der OP spricht (beide Seiten, die getrennt voneinandet gemacht werden müssen) aber im Internet findet man Infos, dass Physio und gute Muskeln ausreichen.
 
Beitrag-Verfasser
Dogorama-Mitglied
17. Okt. 20:31
Neve wurde auch gerade erst mit HD diagnostiziert und wir sind sehr verunsichert, weil der Arzt von der OP spricht (beide Seiten, die getrennt voneinandet gemacht werden müssen) aber im Internet findet man Infos, dass Physio und gute Muskeln ausreichen.
Es ist immer individuell, ob eine OP angeraten ist oder Physio und gute Muskeln reichen. Es gibt Hunde mit schwerer HD, die mit ausgeprägten Muskeln gut durchs Leben kommen. Und es gibt Hunde mit weniger schlimmer HD, die aber bereits Arthrose und deshalb große Schmerzen haben.
Physio und Muskelaufbau ist aber in beiden Fällen angeraten.

Bei den Behandlungsmöglichkeiten sollte man unterscheiden, ob die Ursache behoben (künstliche Hüftgelenke) oder verändert (Femurkopfresektion) wird, oder ob lediglich eine Schmerzbehandlung stattfindet (Goldimplantate).

Wenn man verunsichert ist, sollte man eine Zweitmeinung einholen. Immer bei einem Spezialisten (Orthopäden), der sich mit den Behandlungsmethoden gut auskennt.
 
Beitrag-Verfasser-Bild
Inés
17. Okt. 20:57
Es ist immer individuell, ob eine OP angeraten ist oder Physio und gute Muskeln reichen. Es gibt Hunde mit schwerer HD, die mit ausgeprägten Muskeln gut durchs Leben kommen. Und es gibt Hunde mit weniger schlimmer HD, die aber bereits Arthrose und deshalb große Schmerzen haben. Physio und Muskelaufbau ist aber in beiden Fällen angeraten. Bei den Behandlungsmöglichkeiten sollte man unterscheiden, ob die Ursache behoben (künstliche Hüftgelenke) oder verändert (Femurkopfresektion) wird, oder ob lediglich eine Schmerzbehandlung stattfindet (Goldimplantate). Wenn man verunsichert ist, sollte man eine Zweitmeinung einholen. Immer bei einem Spezialisten (Orthopäden), der sich mit den Behandlungsmethoden gut auskennt.
Danke für deine Antwort, die uns wirklich hilft und einiges klarer macht. Neve hat HD mit beginnender Arthrose - daher wird er die künstlichen Hüftgelenke dann angedacht haben, was mit deiner Erklärung dann Sinn macht.
 
Beitrag-Verfasser
Dogorama-Mitglied
17. Okt. 21:15
Mir hat diese Webseite sehr geholfen. Ich konnte daraufhin dem Orthopäden die passenden Fragen stellen.
https://www.kleintierspezialisten.de/de/infothek/orthopaedische-chirurgie/hueftgelenkdysplasie-hd
 
Beitrag-Verfasser-Bild
Tina
18. Okt. 06:46
Hier unsere Geschichte:
Meine erste Hündin hatte damals auch mit ca. 1 Jahr die Diagnose schwere HD. Wir waren wegen einem knackenden Sprunggelenk zum Röntgen beim orthopädisch/chirurgischen Tierarzt. Nach Untersuchung und Gangbildanalyse empfohl uns dieser gleich "alles" zu röntgen, wenn der Hund sowieso einmal narkotisiert wird. Ende vom Lied war für mich der Schock: das Sprunggelenk war gesund, aber beidseitig schwere HD. Meine Hündin hatte im Alltag keine starken Schmerzen. Diese hatte sie nur dann, wenn man ihr die Hinterläufe weit nach hinten zog wie bei der Untersuchung beim Tierarzt. Oder einmal im Winter rutschte Sie auf Eis in einen "Spagat" was ihr auch sehr weh tat. Ich stand lange vor der Frage: OP oder nicht? Und habe sehr lange damit gehadert was richtig und falsch ist. Habe mich letztlich gegen die OP entschieden. Ehrlich gesagt zum einem wegen der Kosten eines Kleinwagens und weil auch mit OP Risiken bestehen können (z.B. Implantat lockert sich). Mein Hund bekam sein komplettes Leben ein spezielles und teures Gelenkfutter, welches sie sehr gut vertragen hat. Sonst war sie ein "normaler" Hund mit Lebensqualität und ist auch gerannt und getobt, am Fahrrad getrabt und war oft schwimmen (beim Labbi ja kein Problem). Wichtig ist die Muskulatur um die Hüfte immer stark zu halten, weil diese letztlich die kaputten Gelenke essenziell stabilisiert. Und auf keinen Fall Übergewicht, immer am besten im unteren Bereich vom Idealgewicht halten, das ist uns auch gut gelungen, sie hatte immer zwischen 26 und 28kg.
Erst ab ca. 8 /9Jahren gab es einzelne Schmerzepisoden (1/2× im Jahr), die wir aber immer mit kurzen Schmerztherapien (max. 10 Tage) wieder gut in den Griff bekamen. Sie musste keine dauerhaften Medikamente nehmen. Ab ca. 11 Jahre sah man dann, dass ihr das aufstehen zunehmend schwer fiel und etwas dauerte. Das hätte sich vermutlich auch noch verschlimmert. Gestorben ist sie mit fast 12 nicht wegen der HD, sondern durch kurze, schwere Krankheit der Gebärmutter.
 
Beitrag-Verfasser-Bild
isabell
18. Okt. 09:21
Neve wurde auch gerade erst mit HD diagnostiziert und wir sind sehr verunsichert, weil der Arzt von der OP spricht (beide Seiten, die getrennt voneinandet gemacht werden müssen) aber im Internet findet man Infos, dass Physio und gute Muskeln ausreichen.
Also wir waren gestern mit Ylvie bei der Physio und die hat uns ebenfalls Hoffnung gemacht, dass wir ohne OP klarkommen. Ich persönlich ziehe eine OP schon in Betracht aber ich möchte vorher auch alle Möglichkeiten ausschöpfen