Home / Forum / Rasse-spezifisches / Alles rund um den Schäferhund, diskutieren erwünscht.

Verfasser-Bild
Gina
Einleitungs-Beitrag
Anzahl der Antworten 12668
zuletzt 25. Aug.

Alles rund um den Schäferhund, diskutieren erwünscht.

Weil wir ja nicht die anderen Themen sprengen wollen, mache ich mal ein eigenes Thema auf. Ich hoffe auf interessanten Austausch über alles, was den Schäferhund betrifft und freue mich darauf. Hoffe, ihr seid dabei👍
 
Beitrag-Verfasser-Bild
Marion
5. Aug. 21:41
Anzeige ist raus😜
Auch imaginär?
 
Beitrag-Verfasser-Bild
Conny
6. Aug. 04:13
Guten Morgen ihr Lieben 😊☕️☕️☕️
Ich wünsche euch einen wunderschönen Start in den Tag ☀️
 
Beitrag-Verfasser-Bild
Marion
6. Aug. 04:40
Guten Morgen ihr Lieben 😊☕️☕️☕️ Ich wünsche euch einen wunderschönen Start in den Tag ☀️
Dito und gute Nacht. 😴😴😴 6 grad hier, ich kann meinen Atem sehen
 
Beitrag-Verfasser-Bild
Conny
6. Aug. 04:49
Dito und gute Nacht. 😴😴😴 6 grad hier, ich kann meinen Atem sehen
Oh Gott, dieser Temperatursturz ist echt der Hammer. Hier sind schon 10 Grad.
Schlaf gut und schöne Träume😊Ich muss jetzt zu Arbeit 🤓
 
Beitrag-Verfasser-Bild
Michelle
6. Aug. 06:34
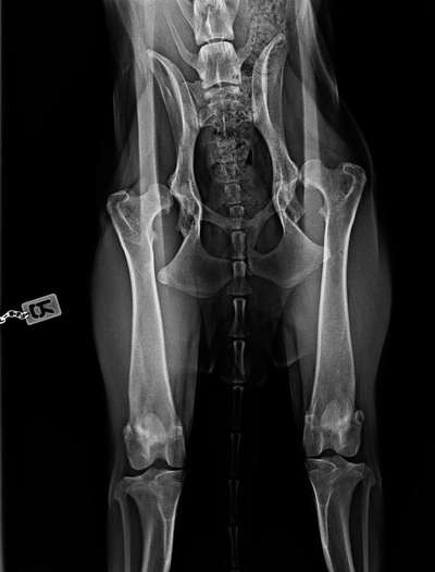
Guten Morgen 🤗 ich wollte euch mal ein paar Neuigkeiten mitteilen und erst einmal:Keine Sorge,dass ist nicht die Hüfte von Puma,zum Glück,ihre ist in Ordnung.
Das ist die Hüfte von einer von Pumas jüngeren Schwestern,die ist 10 Monate alt und hat dieses Problem schon von Geburt an.Ist natürlich deswegen auch etwas anders gelaufen,die jetzigen Besitzer haben die mit 6 Monaten bekommen,aber die Züchter haben nichts gesagt.Ein Anwalt ist eingeschaltet und hoffentlich dürfen die nie wieder züchten.Ich habe da einiges Neues erfahren,was ich vorher noch nicht gewusst habe und meine Meinung ist sogar schon im unteren Teil des negativen Bereiches,wobei ich vorher dachte,die könnte nicht weiter runtergehen.

So ein Fehler passiert mir kein zweites Mal und bin einfach nur froh,dass ich auch nur die normalen Hundeprobleme mit Puma in dem Alter habe und sie bisher keine gesundheitlichen Probleme aufweist.
 
Beitrag-Verfasser-Bild
Simone
6. Aug. 07:59
Guten Morgen 🤗 ich wollte euch mal ein paar Neuigkeiten mitteilen und erst einmal:Keine Sorge,dass ist nicht die Hüfte von Puma,zum Glück,ihre ist in Ordnung. Das ist die Hüfte von einer von Pumas jüngeren Schwestern,die ist 10 Monate alt und hat dieses Problem schon von Geburt an.Ist natürlich deswegen auch etwas anders gelaufen,die jetzigen Besitzer haben die mit 6 Monaten bekommen,aber die Züchter haben nichts gesagt.Ein Anwalt ist eingeschaltet und hoffentlich dürfen die nie wieder züchten.Ich habe da einiges Neues erfahren,was ich vorher noch nicht gewusst habe und meine Meinung ist sogar schon im unteren Teil des negativen Bereiches,wobei ich vorher dachte,die könnte nicht weiter runtergehen. So ein Fehler passiert mir kein zweites Mal und bin einfach nur froh,dass ich auch nur die normalen Hundeprobleme mit Puma in dem Alter habe und sie bisher keine gesundheitlichen Probleme aufweist.
Haben die Hunde sv Papiere
 
Beitrag-Verfasser-Bild
Simone
6. Aug. 08:04
Guten Morgen 🤗 ich wollte euch mal ein paar Neuigkeiten mitteilen und erst einmal:Keine Sorge,dass ist nicht die Hüfte von Puma,zum Glück,ihre ist in Ordnung. Das ist die Hüfte von einer von Pumas jüngeren Schwestern,die ist 10 Monate alt und hat dieses Problem schon von Geburt an.Ist natürlich deswegen auch etwas anders gelaufen,die jetzigen Besitzer haben die mit 6 Monaten bekommen,aber die Züchter haben nichts gesagt.Ein Anwalt ist eingeschaltet und hoffentlich dürfen die nie wieder züchten.Ich habe da einiges Neues erfahren,was ich vorher noch nicht gewusst habe und meine Meinung ist sogar schon im unteren Teil des negativen Bereiches,wobei ich vorher dachte,die könnte nicht weiter runtergehen. So ein Fehler passiert mir kein zweites Mal und bin einfach nur froh,dass ich auch nur die normalen Hundeprobleme mit Puma in dem Alter habe und sie bisher keine gesundheitlichen Probleme aufweist.
Wenn die Hunde eine Ahnentafel haben und alle Untersuchungen wird auch ein Anwalt da nichts erreichen können nur den Kaufpreis zurück das kommt vor egal bei welcher Rasse auch genug Mischlinge haben solche Hüften der Hund muss behandelt werden sonst zählt jetzt nichts mehr und kann oder will man das nicht muss er eingeschläfert werden
 
Beitrag-Verfasser-Bild
Michelle
6. Aug. 08:25
Wenn die Hunde eine Ahnentafel haben und alle Untersuchungen wird auch ein Anwalt da nichts erreichen können nur den Kaufpreis zurück das kommt vor egal bei welcher Rasse auch genug Mischlinge haben solche Hüften der Hund muss behandelt werden sonst zählt jetzt nichts mehr und kann oder will man das nicht muss er eingeschläfert werden
Nein,die haben glaube gar nichts.Sind auch nicht im SV oder sonst einem Verein soweit ich weiß.Haben sogar wahrscheinlich das alles schwarz gemacht.Wie gesagt,so ein Fehler wird mir nicht nochmal passieren und habe echt Glück mit Puma gehabt.

Klar passiert sowas immer wieder und die werden die auch operieren lassen.Ob die jetzigen Besitzer was mit nem Anwalt erreichen,sei dahingestellt,aber den „Züchtern“ sollte verboten werden weiter zu züchten,so wie es sich bei denen entwickelt hat und was ich erfahren habe.Sowas geht absolut nicht,das ist Tierrechtlich nicht in Ordnung!Daher hoffe ich,dass die nie wieder züchten dürfen.Bei dem anderen bin ich bei dir, es kann immer wieder passieren egal welche Rasse etc.
Und am wichtigsten ist jetzt erst Mal die Gesundheit der Kleinen Maus.
 
Beitrag-Verfasser-Bild
Simone
6. Aug. 08:26
Nein,die haben glaube gar nichts.Sind auch nicht im SV oder sonst einem Verein soweit ich weiß.Haben sogar wahrscheinlich das alles schwarz gemacht.Wie gesagt,so ein Fehler wird mir nicht nochmal passieren und habe echt Glück mit Puma gehabt. Klar passiert sowas immer wieder und die werden die auch operieren lassen.Ob die jetzigen Besitzer was mit nem Anwalt erreichen,sei dahingestellt,aber den „Züchtern“ sollte verboten werden weiter zu züchten,so wie es sich bei denen entwickelt hat und was ich erfahren habe.Sowas geht absolut nicht,das ist Tierrechtlich nicht in Ordnung!Daher hoffe ich,dass die nie wieder züchten dürfen.Bei dem anderen bin ich bei dir, es kann immer wieder passieren egal welche Rasse etc. Und am wichtigsten ist jetzt erst Mal die Gesundheit der Kleinen Maus.
Ja so ist es
 
Beitrag-Verfasser-Bild
Simone
6. Aug. 08:36
Nein,die haben glaube gar nichts.Sind auch nicht im SV oder sonst einem Verein soweit ich weiß.Haben sogar wahrscheinlich das alles schwarz gemacht.Wie gesagt,so ein Fehler wird mir nicht nochmal passieren und habe echt Glück mit Puma gehabt. Klar passiert sowas immer wieder und die werden die auch operieren lassen.Ob die jetzigen Besitzer was mit nem Anwalt erreichen,sei dahingestellt,aber den „Züchtern“ sollte verboten werden weiter zu züchten,so wie es sich bei denen entwickelt hat und was ich erfahren habe.Sowas geht absolut nicht,das ist Tierrechtlich nicht in Ordnung!Daher hoffe ich,dass die nie wieder züchten dürfen.Bei dem anderen bin ich bei dir, es kann immer wieder passieren egal welche Rasse etc. Und am wichtigsten ist jetzt erst Mal die Gesundheit der Kleinen Maus.
Ist puma komplett geröngt