Home / Forum / Gesundheit / Ist das Karies oder sowas?

Verfasser-Bild
Julia
Einleitungs-Beitrag
Anzahl der Antworten 8
zuletzt 3. Apr.

Ist das Karies oder sowas?

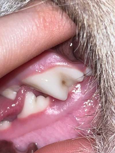
Hallo, ich putze charlie regelmäßig die zähne nun habe ich das hier entdeckt und das geht auch nicht durchs putzen weg.. könnte das ein loch sein? Größer wirds nicht. Achja fals wichtig Charlie ist 1 Jahr alt🐶
 
Beitrag-Verfasser-Bild
Julia
Beliebteste Antwort
22. März 22:40
Wie wäre es, wenn Du das Deinen Tierarzt fragst?
Am Wochenende bisschen schlecht 😅 werde es eh machen weil wir bald zum impfen ein Termin haben da werde ich gleich fragen. Wollte hier einfach mal nachfragen
Ist doch dazu da?!
 
Beitrag-Verfasser
Dogorama-Mitglied
22. März 22:21
Wie wäre es, wenn Du das Deinen Tierarzt fragst?
 
Beitrag-Verfasser-Bild
Julia
22. März 22:40
Wie wäre es, wenn Du das Deinen Tierarzt fragst?
Am Wochenende bisschen schlecht 😅 werde es eh machen weil wir bald zum impfen ein Termin haben da werde ich gleich fragen. Wollte hier einfach mal nachfragen
Ist doch dazu da?!
 
Beitrag-Verfasser
L.
22. März 22:44
Eine Ferndiagnose ist bei Bildern immer schwierig. So kann man hier Dimensionen, Tiefe, Farbe etc. nicht ausreichend beurteilen. Es handelt sich vermutlich um beginnenden Zahnstein. Wenn man sich unsicher ist, sollte am besten ein Tierarzt drauf schauen.
 
Beitrag-Verfasser-Bild
Heidi
22. März 23:17
Ich putze auch regelmäßig und das ist irgendwie eine Stelle wo sich gerne Ablagerungen sammeln. Ich habe mir (für Enzo) etwas bestellt, wo mit ich am letzten Backenzahn (da kommt man selbst mit der Zahnbürste schlecht hin) und genau dort den Belag abkratze.
 
Beitrag-Verfasser-Bild
Jan
23. März 10:33
Wie wäre es, wenn Du das Deinen Tierarzt fragst?
Wenn man nichts zu sagen sollte man manchmal nichts sagen
 
Beitrag-Verfasser-Bild
A.
1. Apr. 12:24
Hab ich bei meinem 8 Monaten maltipoo auch neulich entdeckt und wir putzen täglich 🫣
 
Beitrag-Verfasser-Bild
Nicole
3. Apr. 12:01
Das ist kein Loch nein.

Sondern da bilden sich schneller Ablagerungen weil du da mit der normalen Zahnbürste gar nicht hinkommst, die bürstet da quasi einfach drüber durch die Formgebung des Zahnes.

Bitte auch nicht denken nur weil man Zähne putzt müsste man nie zur Prophylaxe das klappt bei uns Menschen auch nicht.
 
Beitrag-Verfasser-Bild
Niclas
3. Apr. 15:27
Leichter Zahnstein.