Home / Forum / Gesundheit / Erosive Polyarthritis ausgelöst durch Leishmaniose

Verfasser-Bild
Melanie
Einleitungs-Beitrag
Anzahl der Antworten 3
zuletzt 11. Apr.

Erosive Polyarthritis ausgelöst durch Leishmaniose

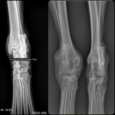
Hallo zusammen 🙋🏼‍♀️ Das ist Happy, 10 Jahre alt und mein Sorgenkind! Wie in der Überschrift schon steht, würde ich mich gerne einmal mit euch über dieses Thema austauschen. Vielleicht hat ja jemand auch diese Diagnose bekommen und kann oder möchte mir berichten! Durch eine unentdeckte und dadurch auch unbehandelte Leishmaniose bekam Happy die erosive Polyarthrtis. Das die Leishmaniose die Knochen derart angreift war mir nicht bewusst und somit ein riesen Schock für mich. Zur Zeit ist Happy in medizinischer Behandlung und bekommt Allopurinol (Gichtmittel) und purinarmes Futter! In regelmäßigen Abständen werden Ihre Blutwerte, Urin und natürlich die Hinterläufe kontrolliert. Zu den Bildern: Röntgenbild --> links ein gesundes Bein und rechts die beiden Hinterläufe von Happy Bilder mit Tape --> die Fehlstellung ihrer Hinterläufe vor ein paar Monaten, vom Physio getapt Orthese --> vor etwas mehr als einem Jahr haben wir eine Orthese anfertigen lassen, mittlerweile nicht mehr tragbar, weil das Gelenk dicker geworden ist
 
Beitrag-Verfasser-Bild
Melanie
Beliebteste Antwort
11. März 09:41
Hallo Melanie. Ich kann und will hier keine Versprechen geben, kann nur sagen, dass bei meiner eine angehende Arthrose weggegangen ist durch ein Produkt mit Muschelfleisch, CBD,Acerolakirschen, Teufelskralle etc.
Hallo Nadine
Die Grünlippmuscheln bekommt sie als Pillen und auch Kurkuma ins Essen! Ach ja, natürlich auch Schmerzmittel! Leider ist diese Form der Arthrose nicht heilbar! Die Ärzte versuchen jetzt durch Behandlung der Leishmaniose, den Fortschritt der Arthrose zu verlangsamen!
 
Beitrag-Verfasser-Bild
Nadine
11. März 09:35
Hallo Melanie. Ich kann und will hier keine Versprechen geben, kann nur sagen, dass bei meiner eine angehende Arthrose weggegangen ist durch ein Produkt mit Muschelfleisch, CBD,Acerolakirschen, Teufelskralle etc.
 
Beitrag-Verfasser-Bild
Melanie
11. März 09:41
Hallo Melanie. Ich kann und will hier keine Versprechen geben, kann nur sagen, dass bei meiner eine angehende Arthrose weggegangen ist durch ein Produkt mit Muschelfleisch, CBD,Acerolakirschen, Teufelskralle etc.
Hallo Nadine
Die Grünlippmuscheln bekommt sie als Pillen und auch Kurkuma ins Essen! Ach ja, natürlich auch Schmerzmittel! Leider ist diese Form der Arthrose nicht heilbar! Die Ärzte versuchen jetzt durch Behandlung der Leishmaniose, den Fortschritt der Arthrose zu verlangsamen!
 
Beitrag-Verfasser-Bild
Claudia
11. Apr. 18:53
Hallo Nadine Die Grünlippmuscheln bekommt sie als Pillen und auch Kurkuma ins Essen! Ach ja, natürlich auch Schmerzmittel! Leider ist diese Form der Arthrose nicht heilbar! Die Ärzte versuchen jetzt durch Behandlung der Leishmaniose, den Fortschritt der Arthrose zu verlangsamen!
Hallo ich habe einen Pointer vom Tierschutzverein mit leishmaniose.
Ich baue gerade ihr immunsystem auf mit Artemis
Dann goloidales Silber
Und Hagebutten pulver
Noch die clobolis stibium sulfitarum D30.
Sag mir bitte was ich noch machen kann damit sie nicht ausbricht.
Momentan ist ihr titter 1:64.
Eigentlich gut oder? Gruß claudia