Home / Forum / Gesundheit / Ellebogen OCD ?

Verfasser-Bild
Anna
Einleitungs-Beitrag
Anzahl der Antworten 1
zuletzt 26. Okt.

Ellebogen OCD ?

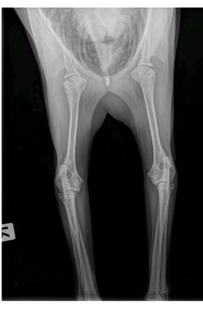
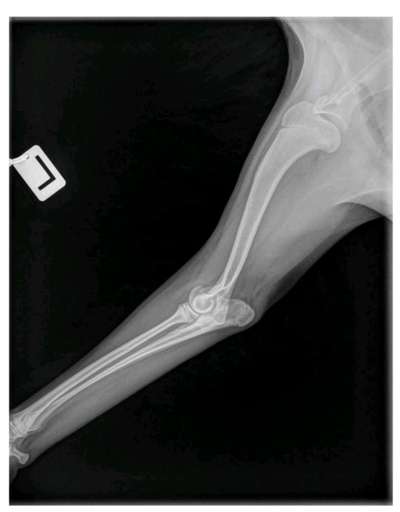
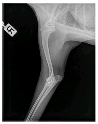
Hallo liebe Leute, Aufgrund mehrwöchiger Lahmheit vorne links bei unserem 6 Monatigen Hund (Japanspitz, eher kleine - mittelgroße Rasse) haben wir in einer Tierklinik ihn röntgen lassen und anschließend ins CT gegeben. Nun hat er laut Ärzten im Ellenbogen eine beidseitige OCD und soll zumindest auf der linken Seite operiert werden. Wir sind recht überfordert mit der Diagnose und wollen eine 2. Meinung noch einholen. Angehängt sind die Bilder. Unser Hund hatte keine Unfälle (natürlich ist er mal im Laufen auf glatten Boden daheim mal weggerutscht). Gassi sind wir immer nach der 5-10 Minutenregel pro Monat gegangen. Treppen wurde und wird er getragen. Kein wildes Spiel mit anderen Hunden. Er darf nicht allein auf die Couch. Essen bekam er Anfangs das HappyDog für Welpen, ab und zu bisschen Naturjoghurt und Buttermilch. Seit einer ganzen Weile erhält er aber nun das Welpenfutter mit Lamm von Tails and Tales. Das frisst er ohne Joghurt (das vorherige TroFu wollte er kaum noch essen, daher der Wechsel). Leckerlis bestehen, wenn, aus seinem Trockenfutter, weil er das sehr gern mag. Oder getrocknetes Lamm oder Pferd. Weil er vor einer Weile Giardien hatte bekommt er noch was zum Aufbau der gesunden Darmflora und hat inzwischen wieder guten Stuhlgang etc. Das Lahmen schwankt übrigens. Jetzt läuft er seit 2 Tagen recht gut ( Gassi ist schon seit Wochen nur an der Leine), aber das muss nichts heißen. In seiner Zuchtstätte gab es seit 20 Jahren nicht so einen Fall und ich glaube das auch. Sind hier Experten für OCD? Was habt ihr für Erfahrungen? Was sagt ihr zu unserem Befund? Macht eine OP Sinn in diesem Fall? LG Anna
 
Beitrag-Verfasser
Dogorama-Mitglied
26. Okt. 15:16
Upps, das Röntgenbild ist krass!
Es kommt gelegentlich (selten) auch beim Belgier vor. Beidseitig eher selten.
So wie das Bild aussieht muss operiert werden und das relativ schnell.
Seine Hüfte ist okay?
 
Beitrag-Verfasser-Bild
Anna
26. Okt. 15:27
Upps, das Röntgenbild ist krass! Es kommt gelegentlich (selten) auch beim Belgier vor. Beidseitig eher selten. So wie das Bild aussieht muss operiert werden und das relativ schnell. Seine Hüfte ist okay?
Seine Hüfte ist ok, die Schultern auch.