Home / Forum / Gesundheit / Arthrose im Ellenbogen?

Verfasser
Pascal
Einleitungs-Beitrag
Anzahl der Antworten 31
zuletzt 14. Feb.

Arthrose im Ellenbogen?

Ich war bereits beim Tierarzt habe eine Spritze und Tabletten bekommen. Soweit so gut. Beim Arzt zeigte er wenig auffällig kein was die Ursache erschwerte. Aber ich finde es kommt irgendwie von der Pfote. Der Arzt konnte so nichts feststellen. Beim Gassi gehen zeigt er auch wenig Auffälligkeiten. Nach dem liegen ist dieses bild wie im video zu 90% immer so der fall. Jemand selbst solche Erfahrungen 5 jahre ist der rüde
 
Beitrag-Verfasser-Bild
Sonja
Beliebteste Antwort
7. Feb. 15:16
Anlaufschwierigkeiten können auf jeden Fall auf Arthrose und/oder Dysplasie hindeuten, das müsste man röntgen. Meine Hündin hatte mal einen verstauchten Zeh und da war das Humpeln genau anders herum: beim Aufstehen keine Probleme, erst bei längerer Bewegung/Gassi.
 
Beitrag-Verfasser-Bild
Sonja
7. Feb. 15:10
Was hat der TA denn untersucht? Hast du ihm auch das Video gezeigt?
 
Beitrag-Verfasser
Pascal
7. Feb. 15:11
Was hat der TA denn untersucht? Hast du ihm auch das Video gezeigt?
Video hab ich erst erstellt. Tierarzt hat Pfote untersucht und die Gelenk Bewegungen. Jedoch zeigte er vor ängstlichkeit kaum anzeigen auf probleme
 
Beitrag-Verfasser-Bild
Sonja
7. Feb. 15:16
Anlaufschwierigkeiten können auf jeden Fall auf Arthrose und/oder Dysplasie hindeuten, das müsste man röntgen. Meine Hündin hatte mal einen verstauchten Zeh und da war das Humpeln genau anders herum: beim Aufstehen keine Probleme, erst bei längerer Bewegung/Gassi.
 
Beitrag-Verfasser
Pascal
7. Feb. 15:18
Anlaufschwierigkeiten können auf jeden Fall auf Arthrose und/oder Dysplasie hindeuten, das müsste man röntgen. Meine Hündin hatte mal einen verstauchten Zeh und da war das Humpeln genau anders herum: beim Aufstehen keine Probleme, erst bei längerer Bewegung/Gassi.
Danke. Ja werde nächste Woche ihn auch röntgen lassen um es genauer zu wissen.
 
Beitrag-Verfasser
Pascal
7. Feb. 15:20
Anlaufschwierigkeiten können auf jeden Fall auf Arthrose und/oder Dysplasie hindeuten, das müsste man röntgen. Meine Hündin hatte mal einen verstauchten Zeh und da war das Humpeln genau anders herum: beim Aufstehen keine Probleme, erst bei längerer Bewegung/Gassi.
Gestern beim spazieren meinte er, er könnte rennen wie verrückt. Zuhause ging es dann wieder los mit Humppeln.
 
Beitrag-Verfasser
Renate
7. Feb. 17:32
Mein Pflegehund hatte auch Probleme nach dem Aufstehen, allerdings kam das von der Hüfte. Wir haben das mit "Naturheilmittel für Tiere" in den Griff gekriegt. Einfach mal auf die Internetseite gucken. Hoffe es hilft euch auch.
 
Beitrag-Verfasser
Renate
7. Feb. 17:34
Sorry, kleine Korrektur. Es muss heißen Naturheilmittel bei Tieren.
 
Beitrag-Verfasser-Bild
Heike
7. Feb. 18:19
Das Video auf jeden Fall dem Tierarzt zeigen, wenn möglich, noch weitere Videos erstellen.
Wenn er beim Tierarzt keine Schmerzpunkte aus Anspannung zeigt, hast du selbst schon einmal die Gelenke durchbewegt und die Weichteile abgedrückt, zeigt er dabei Schmerzpunkte?
Noch zukünftig genau dokumentieren, wann die Lahmheit auftritt, dann alles dem Tierarzt weiterleiten.
 
Beitrag-Verfasser
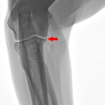
Pascal
11. Feb. 11:16
Was hat der TA denn untersucht? Hast du ihm auch das Video gezeigt?
Ja wurde jetzt mal ein Röntgen bild gemacht aber schwer zu sagen
 
Beitrag-Verfasser
Pascal
11. Feb. 11:17
Ellenbogen TA findet es könnte da minimal Veränderung sein aber kann es nicht ganz genau sagen