Home / Forum / Medizinische Sprechstunde / Hund humpelt

Verfasser-Bild
Nicole
Einleitungs-Beitrag
Anzahl der Antworten 2
zuletzt 30. Apr.

Hund humpelt

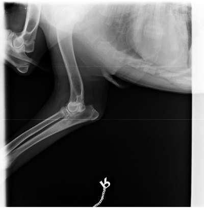
Mein Hund, weißer Schäferhund 6 Monate, fing nach einem Sturz am Folgetag an zu humpeln. Er schont immer mal wieder die Pfote durch anheben. Da das Wochenende vor uns lag, hab ich erst 3 Tage später einen Termin beim Tierarzt bekommen. Der Arzt stellt eine Druckempfindlichkeit am Radius fest. Er wollte gerne Röntgen. Das Röntgenbild gefiel ihm aber nicht und wollte gerne einen Kollegen im Rat fragen. Ich hab aber leider vor dem Wochenende noch nichts gehört und mache mir eine Kopf. Wir haben eine Behandlung mit Metacam gestartet. Einmal angespritzt und ich gebe es jetzt täglich einmal. Ich würde ihnen gerne mal das Röntgenbild zeigen und um ihre Meinung bitten. Ich sehe ein leichte Verschattung ( Panostitis?) kann aber am Gelenk selbst nichts erkennen. Das Bild wurde nicht unter Vollnarkose gemacht
 
Beitrag-Verfasser-Bild
Nora
Beliebteste Antwort
30. Apr. 07:26
Hallo Nicole,

Zunächst einmal möchte ich betonen, dass Röntgenbilder vom Foto nur sehr eingeschränkt bis garnicht zu beurteilen sind. Aus diesem Grund interpretieren wir hier eigentlich keine Röntgenaufnahmen. Zudem sind auf der Aufnahme die Unterarmknochen nicht vollständig abgebildet, was die Interpertation der Aufnahme zusätzlich einschränkt.

Da du aber sehr besorgt scheinst, gebe ich dir natürlich dennoch eine (wie gesagt aber aufgrund der Gegebenheiten stark eingeschränkte) Einschätzung:
Der Teil des Radius, der auf der Röntgenaufnahme erkennbar ist, sieht zunächst unauffällig aus. Im proximalen (oberen) Bereich der Ulna ist eine leichte Verschattung (stellt sich im Röntgen hell dar) im Bereich des Markraums (Inneres des Knochens) zu sehen. Eine solche Verschattung kann verschiedene Ursachen haben. Eine Panostitis ist ein möglicher Grund.

Um die Röntgenaufnahme genau beurteilen und interpretieren zu können bedarf es aber der Originalaufnahmen. Ich würde dir somit empfehlen, dich nach dem Wochenende mit deinem Tierarzt in Verbindung zu setzten.

Wie erwähnt könnte es sich um eine Panotitis handeln, was aber keinesfalls durch die vorliegeneden Informationen sicher bestätigt werden kann. Damit du dich aber bis Dienstag nicht vollkommen hilflos fühlst, habe ich hier einige Informationen zum Thema Panostitis für dich:

Bei der Panostitis handelt es sich um eine schmerzhafte Entzündung der langen Röhrenknochen, also beispielsweise des Oberschenkelknochens oder des Oberarmsknochens. Die Panostitis tritt bei jungen, großwüchsigen Hunden zwischen 4-18 Monaten auf. Zumeist manifestiert sich die Erkrankung zwischen dem 6.-8. Lebensmonat. Eine Panostitis kann aufgrund verschiedener Ursachen entstehen, wie beispielsweise einer Stoffwechselstörung, einem Parasitenbefall, einer Allergie oder einer Autoimmunreaktion.

Durch die Entzündungsreaktion kommt es zu Schmerzen in der Gliedmaße und daraus resultierend zu einer Lahmheit. Oft ist die Panostitis begleitet von weiteren Symptomen, wie Fieber, Abmagerung oder Apathie.

Eine Panostitis ist typischerweise daran zu erkennen, dass die Hunde eine deutliche Schmerzreaktion zeigen, wenn Druck auf den betroffenen Knochen ausgeübt wird. Die Reaktion, die dein Hund bei der Untersuchung gezeigt hat, ist also ein sehr charakteristisches Anzeichen für eine Panostitis. Nicht zu der Erkrankung passen würde allerdings das Fehlen weiterer Symptome, wie Fieber und Abgeschlagenheit.

Natürlich gibt es aber auch eine Reihe von Differentialdiagnosen (andere Erkrankungen), die zu einer gleichen Symptomatik führen können. Vorallem der vorberichtliche Sturz deines Vierbeiners könnte eine Rolle spielen. Um eine sichere Diagnose zu erhalten würde ich dir deshalb empfehlen nochmals Rücksprache mit deinem Tierarzt zu halten. Gegebenenfalls kann auch ein erneutes Rötngenbild angebracht sein, da sich die typischen röntgenologischen Veränderungen bei einer Panostitis erst nach 1-3 Wochen zeigen.

Eine Panostitis hat übrigens eine sehr gute Prognose. Der Hund erhält während der Erkrankung schmerz- und entzündungslindernde Medikamente. Nach 1-3 Monaten heilt die Erkrankung in den meisten Fällen von selbst aus.

Gute Besserung 🐾
 
Beitrag-Verfasser-Bild
Nora
30. Apr. 07:26
Hallo Nicole,

Zunächst einmal möchte ich betonen, dass Röntgenbilder vom Foto nur sehr eingeschränkt bis garnicht zu beurteilen sind. Aus diesem Grund interpretieren wir hier eigentlich keine Röntgenaufnahmen. Zudem sind auf der Aufnahme die Unterarmknochen nicht vollständig abgebildet, was die Interpertation der Aufnahme zusätzlich einschränkt.

Da du aber sehr besorgt scheinst, gebe ich dir natürlich dennoch eine (wie gesagt aber aufgrund der Gegebenheiten stark eingeschränkte) Einschätzung:
Der Teil des Radius, der auf der Röntgenaufnahme erkennbar ist, sieht zunächst unauffällig aus. Im proximalen (oberen) Bereich der Ulna ist eine leichte Verschattung (stellt sich im Röntgen hell dar) im Bereich des Markraums (Inneres des Knochens) zu sehen. Eine solche Verschattung kann verschiedene Ursachen haben. Eine Panostitis ist ein möglicher Grund.

Um die Röntgenaufnahme genau beurteilen und interpretieren zu können bedarf es aber der Originalaufnahmen. Ich würde dir somit empfehlen, dich nach dem Wochenende mit deinem Tierarzt in Verbindung zu setzten.

Wie erwähnt könnte es sich um eine Panotitis handeln, was aber keinesfalls durch die vorliegeneden Informationen sicher bestätigt werden kann. Damit du dich aber bis Dienstag nicht vollkommen hilflos fühlst, habe ich hier einige Informationen zum Thema Panostitis für dich:

Bei der Panostitis handelt es sich um eine schmerzhafte Entzündung der langen Röhrenknochen, also beispielsweise des Oberschenkelknochens oder des Oberarmsknochens. Die Panostitis tritt bei jungen, großwüchsigen Hunden zwischen 4-18 Monaten auf. Zumeist manifestiert sich die Erkrankung zwischen dem 6.-8. Lebensmonat. Eine Panostitis kann aufgrund verschiedener Ursachen entstehen, wie beispielsweise einer Stoffwechselstörung, einem Parasitenbefall, einer Allergie oder einer Autoimmunreaktion.

Durch die Entzündungsreaktion kommt es zu Schmerzen in der Gliedmaße und daraus resultierend zu einer Lahmheit. Oft ist die Panostitis begleitet von weiteren Symptomen, wie Fieber, Abmagerung oder Apathie.

Eine Panostitis ist typischerweise daran zu erkennen, dass die Hunde eine deutliche Schmerzreaktion zeigen, wenn Druck auf den betroffenen Knochen ausgeübt wird. Die Reaktion, die dein Hund bei der Untersuchung gezeigt hat, ist also ein sehr charakteristisches Anzeichen für eine Panostitis. Nicht zu der Erkrankung passen würde allerdings das Fehlen weiterer Symptome, wie Fieber und Abgeschlagenheit.

Natürlich gibt es aber auch eine Reihe von Differentialdiagnosen (andere Erkrankungen), die zu einer gleichen Symptomatik führen können. Vorallem der vorberichtliche Sturz deines Vierbeiners könnte eine Rolle spielen. Um eine sichere Diagnose zu erhalten würde ich dir deshalb empfehlen nochmals Rücksprache mit deinem Tierarzt zu halten. Gegebenenfalls kann auch ein erneutes Rötngenbild angebracht sein, da sich die typischen röntgenologischen Veränderungen bei einer Panostitis erst nach 1-3 Wochen zeigen.

Eine Panostitis hat übrigens eine sehr gute Prognose. Der Hund erhält während der Erkrankung schmerz- und entzündungslindernde Medikamente. Nach 1-3 Monaten heilt die Erkrankung in den meisten Fällen von selbst aus.

Gute Besserung 🐾
 
Beitrag-Verfasser-Bild
Nicole
30. Apr. 10:15
Danke, ich hab mich sehr über die Antwort gefreut und ich doch etwas beruhigter das
Lange Wochenende genießen kann.
Ich werde meinen Tierarzt natürlich am Dienstag gleich kontaktieren