Home / Forum / Medizinische Sprechstunde / Hd

Verfasser-Bild
Norbert
Einleitungs-Beitrag
Anzahl der Antworten 2
zuletzt 24. Juli

Hd

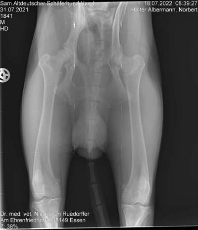
Hallo, bei Sam wurde HD diagnostiziert. Was kann ich tun?
 
Beitrag-Verfasser-Bild
Nora
Beliebteste Antwort
20. Juli 19:41
Hallo Norbert,

Die Hüftgelenksdysplasie ist eine genetisch bedingte Störung der Entwicklung des Hüftgelenks. Das Hüftgelenk besteht aus der Hüftgelenkspfanne, dem Oberschenkelhalskopf und der umgebenden Gelenkskapsel sowie beteiligten Bändern und Muskeln. Damit ein Gelenk optimal funktioniert, müssen alle Strukturen genau ineinander greifen und aufeinander abgestimmt sein. Bei der HD trifft dies nicht zu. Es liegt eine Inkongruenz der knöchernen Strukturen vor, und das Gelenk wird durch die umgebenden Bänder und Weichteile nicht ausreichend gestützt.

Unbehandelt führt eine HD unweigerlich zur Entstehung einer Arthrose, und auch bei gezielter und frühzeitiger Therapie kann eine vermehrte Gelenksabnutzung mit einhergehender Verschleißerscheinung nicht immer verhindert werden. Bei der Therapie der Hd gilt also generell: Je früher die HD behandelt wird, desto besser ist die Prognose und die Vorbeugung von Folgeerkrankungen.

Bei der Therapie der HD kann zwischen einer konservativen und einer chirurgischen Behandlung unterschieden werden.

Bei der konservativen Therapie wird der Ansatz verfolgt, die Muskulatur zu stärken und die Gelenkkapsel so zu straffen, dass das Hüftgelenk optimal unterstützt wird. Die konservative Therapie umfasst mehrere Bestandteile. Wichtig ist zunächst ein gezieltes Bewegungsmanagement. Der Hund soll kontrollierte Bewegung erhalten, um den Muskelaufbau zu stärken. Physiotherapeutische Behandlungen unterstützen hierbei das gezielte Muskeltraining sowie die Beweglichkeit und Koordination. Zusätzlich erhält der Hund schmerz- und entzündungslindernde Medikamente. So wird der entzündlichen Reaktion des Körpers entgegengewirkt und die Schmerzhaftigkeit in der Bewegung gemindert. Ergänzend erhält der Hund Futterzusatzstoffe wie Omega-3-Fettsäuren, Chondroitinsulfate und Glukosamin, um die Gesunderhaltung des Knorpelstoffwechsels zu fördern.

Die chirurgische Therapie besteht aus einer Operation. Je nach Größe des Hundes, Röntgenbefunden und Ausmaß der HD gibt es verschiedene Operationsmöglichkeiten und -methoden. Eine dieser ist die Femurkopfhalsresektion. Hierbei wird der Kopf des Oberschenkels, welcher mit der Gelenkpfanne das Hüftgelenk bildet, entfernt. Die entstandene Lücke füllt sich mit straffem Bindegewebe und schafft somit eine neue Verbindung. Eine Fermurkopfhalsresektion wird von den meisten Operateuren nur bei Hunden mit einem Endgewicht unter 20 kg empfohlen.

Bei größeren und schwereren Hunden hingegen kommen zumeist Endoprothesen zum Einsatz. Das Vorgehen hierbei ist zunächst ähnlich dem der Femurkopfresektion: der Kopf des Oberschenkelhalsknochens wird entfernt. Anschließend wird aber eine Prothese als Oberschenkelhalskopf auf den Knochen gesetzt und somit ein künstliches Hüftgelenk hergestellt.

Neben diesen beiden Operationsmethoden gibt es noch eine Reihe weiterer Techniken, die zur operativen Korrektur einer HD genutzt werden können. Je nach Einzelfall ist die eine mehr und die andere weniger gut geeignet. Nach jeder Operation wird eine Physiotherapeutische Behandlung und eine Fütterungsanpassung zur Unterstützung der Rekonvaleszenz empfohlen.



Welche Therapieoption die richtige Wahl ist, ist ganz individuell vom Hund abhängig. In den meisten Fällen wird eine frühzeitige Operation empfohlen, um dem Hund einen bestmöglichen Langzeiterfolg zu ermöglichen. Es gibt jedoch auch Fälle, in denen eine konservative Therapie vorzuziehen ist. Ich würde dir empfehlen, ein Beratungsgespräch bei einem Orthopäden für Kleintiere in Anspruch zu nehmen. Dieser kann nach einer eingehenden Untersuchung und Befundung der Röntgenbilder die Erfolgaussichten, die die verschiedenen Therapiemöglichkeiten für Sam haben, genau abschätzen. Nach einer eingehenden Beratung kannst du anschießend für dich und Sam entscheiden, welcher Weg für euch der Richtige ist.



Alles Gute euch beiden 🐾
 
Beitrag-Verfasser-Bild
Nora
20. Juli 19:41
Hallo Norbert,

Die Hüftgelenksdysplasie ist eine genetisch bedingte Störung der Entwicklung des Hüftgelenks. Das Hüftgelenk besteht aus der Hüftgelenkspfanne, dem Oberschenkelhalskopf und der umgebenden Gelenkskapsel sowie beteiligten Bändern und Muskeln. Damit ein Gelenk optimal funktioniert, müssen alle Strukturen genau ineinander greifen und aufeinander abgestimmt sein. Bei der HD trifft dies nicht zu. Es liegt eine Inkongruenz der knöchernen Strukturen vor, und das Gelenk wird durch die umgebenden Bänder und Weichteile nicht ausreichend gestützt.

Unbehandelt führt eine HD unweigerlich zur Entstehung einer Arthrose, und auch bei gezielter und frühzeitiger Therapie kann eine vermehrte Gelenksabnutzung mit einhergehender Verschleißerscheinung nicht immer verhindert werden. Bei der Therapie der Hd gilt also generell: Je früher die HD behandelt wird, desto besser ist die Prognose und die Vorbeugung von Folgeerkrankungen.

Bei der Therapie der HD kann zwischen einer konservativen und einer chirurgischen Behandlung unterschieden werden.

Bei der konservativen Therapie wird der Ansatz verfolgt, die Muskulatur zu stärken und die Gelenkkapsel so zu straffen, dass das Hüftgelenk optimal unterstützt wird. Die konservative Therapie umfasst mehrere Bestandteile. Wichtig ist zunächst ein gezieltes Bewegungsmanagement. Der Hund soll kontrollierte Bewegung erhalten, um den Muskelaufbau zu stärken. Physiotherapeutische Behandlungen unterstützen hierbei das gezielte Muskeltraining sowie die Beweglichkeit und Koordination. Zusätzlich erhält der Hund schmerz- und entzündungslindernde Medikamente. So wird der entzündlichen Reaktion des Körpers entgegengewirkt und die Schmerzhaftigkeit in der Bewegung gemindert. Ergänzend erhält der Hund Futterzusatzstoffe wie Omega-3-Fettsäuren, Chondroitinsulfate und Glukosamin, um die Gesunderhaltung des Knorpelstoffwechsels zu fördern.

Die chirurgische Therapie besteht aus einer Operation. Je nach Größe des Hundes, Röntgenbefunden und Ausmaß der HD gibt es verschiedene Operationsmöglichkeiten und -methoden. Eine dieser ist die Femurkopfhalsresektion. Hierbei wird der Kopf des Oberschenkels, welcher mit der Gelenkpfanne das Hüftgelenk bildet, entfernt. Die entstandene Lücke füllt sich mit straffem Bindegewebe und schafft somit eine neue Verbindung. Eine Fermurkopfhalsresektion wird von den meisten Operateuren nur bei Hunden mit einem Endgewicht unter 20 kg empfohlen.

Bei größeren und schwereren Hunden hingegen kommen zumeist Endoprothesen zum Einsatz. Das Vorgehen hierbei ist zunächst ähnlich dem der Femurkopfresektion: der Kopf des Oberschenkelhalsknochens wird entfernt. Anschließend wird aber eine Prothese als Oberschenkelhalskopf auf den Knochen gesetzt und somit ein künstliches Hüftgelenk hergestellt.

Neben diesen beiden Operationsmethoden gibt es noch eine Reihe weiterer Techniken, die zur operativen Korrektur einer HD genutzt werden können. Je nach Einzelfall ist die eine mehr und die andere weniger gut geeignet. Nach jeder Operation wird eine Physiotherapeutische Behandlung und eine Fütterungsanpassung zur Unterstützung der Rekonvaleszenz empfohlen.



Welche Therapieoption die richtige Wahl ist, ist ganz individuell vom Hund abhängig. In den meisten Fällen wird eine frühzeitige Operation empfohlen, um dem Hund einen bestmöglichen Langzeiterfolg zu ermöglichen. Es gibt jedoch auch Fälle, in denen eine konservative Therapie vorzuziehen ist. Ich würde dir empfehlen, ein Beratungsgespräch bei einem Orthopäden für Kleintiere in Anspruch zu nehmen. Dieser kann nach einer eingehenden Untersuchung und Befundung der Röntgenbilder die Erfolgaussichten, die die verschiedenen Therapiemöglichkeiten für Sam haben, genau abschätzen. Nach einer eingehenden Beratung kannst du anschießend für dich und Sam entscheiden, welcher Weg für euch der Richtige ist.



Alles Gute euch beiden 🐾
 
Beitrag-Verfasser-Bild
Norbert
24. Juli 08:00
Hallo Norbert, Die Hüftgelenksdysplasie ist eine genetisch bedingte Störung der Entwicklung des Hüftgelenks. Das Hüftgelenk besteht aus der Hüftgelenkspfanne, dem Oberschenkelhalskopf und der umgebenden Gelenkskapsel sowie beteiligten Bändern und Muskeln. Damit ein Gelenk optimal funktioniert, müssen alle Strukturen genau ineinander greifen und aufeinander abgestimmt sein. Bei der HD trifft dies nicht zu. Es liegt eine Inkongruenz der knöchernen Strukturen vor, und das Gelenk wird durch die umgebenden Bänder und Weichteile nicht ausreichend gestützt. Unbehandelt führt eine HD unweigerlich zur Entstehung einer Arthrose, und auch bei gezielter und frühzeitiger Therapie kann eine vermehrte Gelenksabnutzung mit einhergehender Verschleißerscheinung nicht immer verhindert werden. Bei der Therapie der Hd gilt also generell: Je früher die HD behandelt wird, desto besser ist die Prognose und die Vorbeugung von Folgeerkrankungen. Bei der Therapie der HD kann zwischen einer konservativen und einer chirurgischen Behandlung unterschieden werden. Bei der konservativen Therapie wird der Ansatz verfolgt, die Muskulatur zu stärken und die Gelenkkapsel so zu straffen, dass das Hüftgelenk optimal unterstützt wird. Die konservative Therapie umfasst mehrere Bestandteile. Wichtig ist zunächst ein gezieltes Bewegungsmanagement. Der Hund soll kontrollierte Bewegung erhalten, um den Muskelaufbau zu stärken. Physiotherapeutische Behandlungen unterstützen hierbei das gezielte Muskeltraining sowie die Beweglichkeit und Koordination. Zusätzlich erhält der Hund schmerz- und entzündungslindernde Medikamente. So wird der entzündlichen Reaktion des Körpers entgegengewirkt und die Schmerzhaftigkeit in der Bewegung gemindert. Ergänzend erhält der Hund Futterzusatzstoffe wie Omega-3-Fettsäuren, Chondroitinsulfate und Glukosamin, um die Gesunderhaltung des Knorpelstoffwechsels zu fördern. Die chirurgische Therapie besteht aus einer Operation. Je nach Größe des Hundes, Röntgenbefunden und Ausmaß der HD gibt es verschiedene Operationsmöglichkeiten und -methoden. Eine dieser ist die Femurkopfhalsresektion. Hierbei wird der Kopf des Oberschenkels, welcher mit der Gelenkpfanne das Hüftgelenk bildet, entfernt. Die entstandene Lücke füllt sich mit straffem Bindegewebe und schafft somit eine neue Verbindung. Eine Fermurkopfhalsresektion wird von den meisten Operateuren nur bei Hunden mit einem Endgewicht unter 20 kg empfohlen. Bei größeren und schwereren Hunden hingegen kommen zumeist Endoprothesen zum Einsatz. Das Vorgehen hierbei ist zunächst ähnlich dem der Femurkopfresektion: der Kopf des Oberschenkelhalsknochens wird entfernt. Anschließend wird aber eine Prothese als Oberschenkelhalskopf auf den Knochen gesetzt und somit ein künstliches Hüftgelenk hergestellt. Neben diesen beiden Operationsmethoden gibt es noch eine Reihe weiterer Techniken, die zur operativen Korrektur einer HD genutzt werden können. Je nach Einzelfall ist die eine mehr und die andere weniger gut geeignet. Nach jeder Operation wird eine Physiotherapeutische Behandlung und eine Fütterungsanpassung zur Unterstützung der Rekonvaleszenz empfohlen. Welche Therapieoption die richtige Wahl ist, ist ganz individuell vom Hund abhängig. In den meisten Fällen wird eine frühzeitige Operation empfohlen, um dem Hund einen bestmöglichen Langzeiterfolg zu ermöglichen. Es gibt jedoch auch Fälle, in denen eine konservative Therapie vorzuziehen ist. Ich würde dir empfehlen, ein Beratungsgespräch bei einem Orthopäden für Kleintiere in Anspruch zu nehmen. Dieser kann nach einer eingehenden Untersuchung und Befundung der Röntgenbilder die Erfolgaussichten, die die verschiedenen Therapiemöglichkeiten für Sam haben, genau abschätzen. Nach einer eingehenden Beratung kannst du anschießend für dich und Sam entscheiden, welcher Weg für euch der Richtige ist. Alles Gute euch beiden 🐾
Danke das war sehr aufschlussreich.