Home / Forum / Medizinische Sprechstunde / Entfernung einer Metallplatte in der Pfote

Verfasser-Bild
Ronja
Einleitungs-Beitrag
Anzahl der Antworten 2
zuletzt 15. Sept.

Entfernung einer Metallplatte in der Pfote

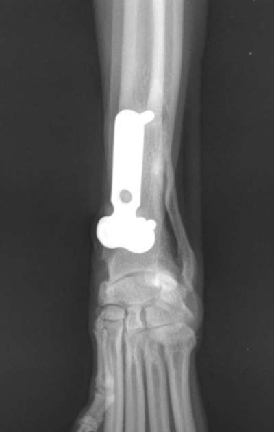
Hallo liebe Community, unserer Hündin Terika (ca. 5 Jahre) muss leider die Metallplatte aus der linken Pfote entfernt werden. Sie ist jetzt 3 Jahre bei uns und knickte jetzt vermehrt mit der Pfote beim Laufen immer weg. Die Platte muss ihr damals in Kroatien schon gesetzt worden sein. Dies hatten wir auch nur durch Zufall festgestellt. Nun meine Frage: hat jemand schon Erfahrungen mit solch einen Eingriff gemacht? auf was können wir uns so einstellen? Schonen und Kragen? Freu mich über eure Rückmeldungen.
 
Beitrag-Verfasser-Bild
Nora
Beliebteste Antwort
14. Sept. 16:47
Hallo Ronja,

Um die Platte zu entfernen wird Terika einer Operation unterzogen. Hierbei wird die Haut im Bereich des Implantats eröffnet und das Muskelgewebe bis zum Knochen freipräpariert. Anschließend wird das Implantat aus dem Knochen entfernt. Nach Entfernung des Implantats wird die eröffnete Haut durch eine Naht verschlossen. Je nach Möglichkeit erhält Terika einen Verband, oder die Naht wird nur durch ein Pflaser geschützt. Egal, welche Variante angewandt wird, ist es sehr wichtig, dass Terika nicht an der Wunde leckt oder knabbert. Um dies sicher zu verhindern, sollte Terika bis zum Ziehen der Fäden 12-14 Tage nach Operation zur Sicherheit Tag und Nacht einen Halskragen tragen.
Nach der Operation sind in dem Bereich, in dem die Schrauben des Implantats saßen, kleine Löcher im Knochen. Diese stellen für aber gewöhnlich kein Problem dar und der Knochen hat in der Regel eine ausreichende Stabilität. Die Löcher wachsen nach einigen Wochen zu. Dennoch ist es sinnvoll, Terika in den ersten Tagen ruhig zu halten und nur kontrolliert an der Leine zu bewegen. Die Stabilität des Knochens kann nach Entfernung der Implantate nochmal genau beurteilt werden. Dein Tierarzt/deine Tierärztin kann dir nach Entfernung eine Einschätzung geben, ob eine Ruhighaltung über einige Tage notwendig ist.

Viel Erfolg für die OP und alles Gute euch beiden 🐾
 
Beitrag-Verfasser-Bild
Nora
14. Sept. 16:47
Hallo Ronja,

Um die Platte zu entfernen wird Terika einer Operation unterzogen. Hierbei wird die Haut im Bereich des Implantats eröffnet und das Muskelgewebe bis zum Knochen freipräpariert. Anschließend wird das Implantat aus dem Knochen entfernt. Nach Entfernung des Implantats wird die eröffnete Haut durch eine Naht verschlossen. Je nach Möglichkeit erhält Terika einen Verband, oder die Naht wird nur durch ein Pflaser geschützt. Egal, welche Variante angewandt wird, ist es sehr wichtig, dass Terika nicht an der Wunde leckt oder knabbert. Um dies sicher zu verhindern, sollte Terika bis zum Ziehen der Fäden 12-14 Tage nach Operation zur Sicherheit Tag und Nacht einen Halskragen tragen.
Nach der Operation sind in dem Bereich, in dem die Schrauben des Implantats saßen, kleine Löcher im Knochen. Diese stellen für aber gewöhnlich kein Problem dar und der Knochen hat in der Regel eine ausreichende Stabilität. Die Löcher wachsen nach einigen Wochen zu. Dennoch ist es sinnvoll, Terika in den ersten Tagen ruhig zu halten und nur kontrolliert an der Leine zu bewegen. Die Stabilität des Knochens kann nach Entfernung der Implantate nochmal genau beurteilt werden. Dein Tierarzt/deine Tierärztin kann dir nach Entfernung eine Einschätzung geben, ob eine Ruhighaltung über einige Tage notwendig ist.

Viel Erfolg für die OP und alles Gute euch beiden 🐾
 
Beitrag-Verfasser-Bild
Ronja
15. Sept. 14:55
Hallo Ronja, Um die Platte zu entfernen wird Terika einer Operation unterzogen. Hierbei wird die Haut im Bereich des Implantats eröffnet und das Muskelgewebe bis zum Knochen freipräpariert. Anschließend wird das Implantat aus dem Knochen entfernt. Nach Entfernung des Implantats wird die eröffnete Haut durch eine Naht verschlossen. Je nach Möglichkeit erhält Terika einen Verband, oder die Naht wird nur durch ein Pflaser geschützt. Egal, welche Variante angewandt wird, ist es sehr wichtig, dass Terika nicht an der Wunde leckt oder knabbert. Um dies sicher zu verhindern, sollte Terika bis zum Ziehen der Fäden 12-14 Tage nach Operation zur Sicherheit Tag und Nacht einen Halskragen tragen. Nach der Operation sind in dem Bereich, in dem die Schrauben des Implantats saßen, kleine Löcher im Knochen. Diese stellen für aber gewöhnlich kein Problem dar und der Knochen hat in der Regel eine ausreichende Stabilität. Die Löcher wachsen nach einigen Wochen zu. Dennoch ist es sinnvoll, Terika in den ersten Tagen ruhig zu halten und nur kontrolliert an der Leine zu bewegen. Die Stabilität des Knochens kann nach Entfernung der Implantate nochmal genau beurteilt werden. Dein Tierarzt/deine Tierärztin kann dir nach Entfernung eine Einschätzung geben, ob eine Ruhighaltung über einige Tage notwendig ist. Viel Erfolg für die OP und alles Gute euch beiden 🐾
vielen Dank für die ausführliche Antwort