Home / Forum / Sonstiges / Ein Jäger schießt auf deinen Hund, was passiert?

Verfasser-Bild
Sandra
Einleitungs-Beitrag
Anzahl der Antworten 252
zuletzt 19. Jan.

Ein Jäger schießt auf deinen Hund, was passiert?

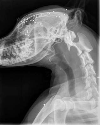
Wenn dein Hund weg ist und er am nächsten Tag vor der Tür steht. Erstmal denke ich wird jeder sowas von froh sein, wenn der Freund nach langem suchen wieder da ist. Was ist aber, wenn er schwer verletzt ist und der Tierarzt dir sagt das es eine Schußverletzung ist und es abzuwarten ist ob er es überlebt. Einer Bekannten ist es so ergangen, die Hündin ist mit ihrem Freund entwischt und stand am nächsten Tag vor der Tür. In einer OP wurde das Auge entfernt und jede Menge Blei entfernt. Es bleibt abzuwarten, ob die Hündin es überlebt, denn das Blei konnte nicht komplett entfernt werden. Eine Bleivergiftung ist tötlich. Was würdet ihr tun? Es hinnehmen oder dagegen angehen? Die Hündin hat sich nicht für Wild interessiert. Der Jäger hat genau ins Auge geschossen und ihr Rüde der hinter ihr stand hat am Ohr eine Verletzung, diese ist aber zum Glück nicht so schlimm. Ein Jäger hat leider sehr wohl das Recht zu schießen, allerdings als letzte Instanz und muß es auch auf einem Formblatt festhalten. Ich finde es widerlich und abgrundtief traurig, das ein Mensch zu so etwas fähig ist. Denn letztendlich entscheidet er als Jäger.
 
Beitrag-Verfasser
Dogorama-Mitglied
16. Jan. 21:35
Einfach auf den Hund aufpassen und ihn abrufbar trainieren...
 
Beitrag-Verfasser
Danny
17. Jan. 08:11
Für mich wäre ja die Frage ob der Jäger überhaupt mit Schrot auf den Hund schießen durfte. Hierbei steht die "erzieherische" Wirkung fuer die Hundehalter wohl im Vordergrund und führt zu vermeidbaren Leiden. Rehe schießt ja auch keiner mit Schrot.
 
Beitrag-Verfasser
Dogorama-Mitglied
17. Jan. 08:23
Für mich wäre ja die Frage ob der Jäger überhaupt mit Schrot auf den Hund schießen durfte. Hierbei steht die "erzieherische" Wirkung fuer die Hundehalter wohl im Vordergrund und führt zu vermeidbaren Leiden. Rehe schießt ja auch keiner mit Schrot.
Interessante frage. Wobei er das Reh ja auch verkaufen will mit ner schrottladung geht das wohl schlecht... Aber würde mich trotzdem interessieren. Aber da es so aussieht als würde der Hund überleben ist das wohl die bessere Alternative gewesen 🤔
 
Beitrag-Verfasser-Bild
Sandra
20. Jan. 19:24
Leider gibt es schlechte Nachrichten..die Maus muß morgen nochmals operiert werden, da sie noch zu viel Blei im Körper hat und die Blutwerte dementsprechend sehr schlecht sind. Ich hoffe sehr auf Besserung und wünsche nur das Beste...
 
Beitrag-Verfasser-Bild
Nils
20. Jan. 19:26
Leider gibt es schlechte Nachrichten..die Maus muß morgen nochmals operiert werden, da sie noch zu viel Blei im Körper hat und die Blutwerte dementsprechend sehr schlecht sind. Ich hoffe sehr auf Besserung und wünsche nur das Beste...
Drücke alle Pfoten 🐾 das alles gut wird 😢✊🏻
 
Beitrag-Verfasser-Bild
Maxi
20. Jan. 19:29
Leider gibt es schlechte Nachrichten..die Maus muß morgen nochmals operiert werden, da sie noch zu viel Blei im Körper hat und die Blutwerte dementsprechend sehr schlecht sind. Ich hoffe sehr auf Besserung und wünsche nur das Beste...
Die arme Maus 😢
Wir drücken ebenfalls alle Pfödchen und Daumen 🍀🍀🍀🍀
Halte uns bitte auf dem Laufenden.
 
Beitrag-Verfasser-Bild
Eve
20. Jan. 19:30
🤯😢
 
Beitrag-Verfasser-Bild
Sandra
20. Jan. 19:30
Die arme Maus 😢 Wir drücken ebenfalls alle Pfödchen und Daumen 🍀🍀🍀🍀 Halte uns bitte auf dem Laufenden.
Danke..das mache ich
 
Beitrag-Verfasser-Bild
Sandra
20. Jan. 19:31
Drücke alle Pfoten 🐾 das alles gut wird 😢✊🏻
Danke👍
 
Beitrag-Verfasser-Bild
Chris
20. Jan. 19:39
https://www.jagderleben.de/news/hund-erschossen-polizei-sieht-jaeger-recht